Experiência
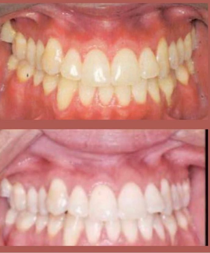
Sou cirurgiã-dentista graduada pela FOP – UNICAMP, com sólida formação acadêmica e ampla experiência clínica. Sou especialista, mestre e doutora em Ortodontia pela FOA – UNESP, atuando tanto na prática clínica quanto na docência, sempre com foco em tratamentos ortodônticos baseados em evidência científica, tecnologia e individualização do paciente.
Possuo aperfeiçoamentos internacionais realizados na França, Inglaterra e Espanha, o que contribui para uma abordagem atualizada, moderna e alinhada às principais tendências da odontologia mundial.
Sou habilitada em Laser e Laserterapia, recursos que auxiliam na aceleração do tratamento, controle da dor e melhor resposta biológica, além de atuar com Harmonização Facial, promovendo equilíbrio estético e funcional de forma segura e personalizada.
Atualmente, exerço atividades clínicas nas cidades de Ribeirão Preto e Araraquara, oferecendo atendimento humanizado, planejamento detalhado e acompanhamento próximo de cada paciente.
Experiência em:
- Ortodontia estetica
- Harmonização facial
- Laserterapia
- Ortodontia lingual
- Clareamento dental
- Aparelho fixo
- Alinhadores
- Alinhadores clearcorrect
Pacientes que trato
Formatos de consulta
Fotos e vídeos
Serviços e preços
-
Consulta ortodontia
R$ 200 -
Consultórios (2)
Avenida Antônio Diederichsen 400, sala 902, Jardim America , Ribeirão Preto 14020-240
Disponibilidade
Rua Tupi 783, Vila Jose Bonifacio , Araraquara 14802-282
Disponibilidade
Planos de saúde não aceitos
Este especialista só aceita pacientes particulares. Você pode pagar particular para marcar, ou encontrar outro especialista que aceite o seu plano de saúde.
Opiniões em breve
Perfil novo
As primeiras opiniões ainda não foram publicadas.
Envie a primeira opinião
Você já passou por consulta com Prof. Carla Gimenez ? Conte aqui como foi. Outros pacientes vão te agradecer por ajudá-los a escolher o melhor especialista.
Enviar opiniãoPerguntas frequentes
-
Quais são as principais especialidades de Carla Gimenez ?Carla Gimenez é ortodontista. Te mostramos alguns dos serviços oferecidos pelo especialista graças à sua trajetória e vasta experiência: Consulta ortodontia.
-
Onde fica o consultório de Carla Gimenez ?Carla Gimenez atende em:
- Rua Tupi 783 Araraquara
- Avenida Antônio Diederichsen 400 Ribeirão Preto
-
Posso passar por atendimento online com Carla Gimenez , sem ter que ir até o consultório?Não, no momento Carla Gimenez não oferece atendimento online.
-
Quais métodos de pagamento são aceitos por Carla Gimenez ?Carla Gimenez aceita os seguintes métodos de pagamento: Dinheiro, Cartão de Crédito, Cartão de Débito, PIX.
-
Em quais idiomas Carla Gimenez atende?Carla Gimenez atende em Espanhol, Francês, Inglês, Italiano, Português.
-
Como posso marcar uma consulta com Carla Gimenez ?O calendário que Carla Gimenez exibe em seu perfil na Doctoralia é atualizado em tempo real. Tudo o que precisa é escolher o dia e a hora que forem mais convenientes para você. O agendamento é gratuito e você também recebe um lembrete antes da consulta.
-
Quando poderia me consultar com Carla Gimenez ?Carla Gimenez costuma ter horários disponíveis dentro da mesma semana ou para a semana seguinte. Verifique o calendário: você verá o primeiro horário disponível, atualizado em tempo real. Caso o horário sugerido não funcione para você, verifique outras datas. Agendar uma consulta é sempre imediato e gratuito.
-
Quais são os convênios aceitos por Carla Gimenez ?Carla Gimenez não aceita convênios, apenas pacientes particulares. Recomendamos que caso tenha alguma dúvida, entre em contato com o especialista.