Dr.
Eduardo Lacet
Dentista
·
Mais
sobre as especializações
Recife 1 endereço
Número de registro: CRO PE 5485
113 opiniõesPacientes deste especialista retornam para outras consultas.
Experiência
Sou pós graduado pela Unesp-Araraquara e especialista em Ortodontia e Ortopedia Facial pela Faculdade de Odontologia de Pernambuco-UPE desde 2003. Sou Invisalign Doctor desde 2007. Ensinei em cursos de pós graduação de 2003 a 2011, quando decidi me dedicar 100% aos meus pacientes na minha clínica privada!
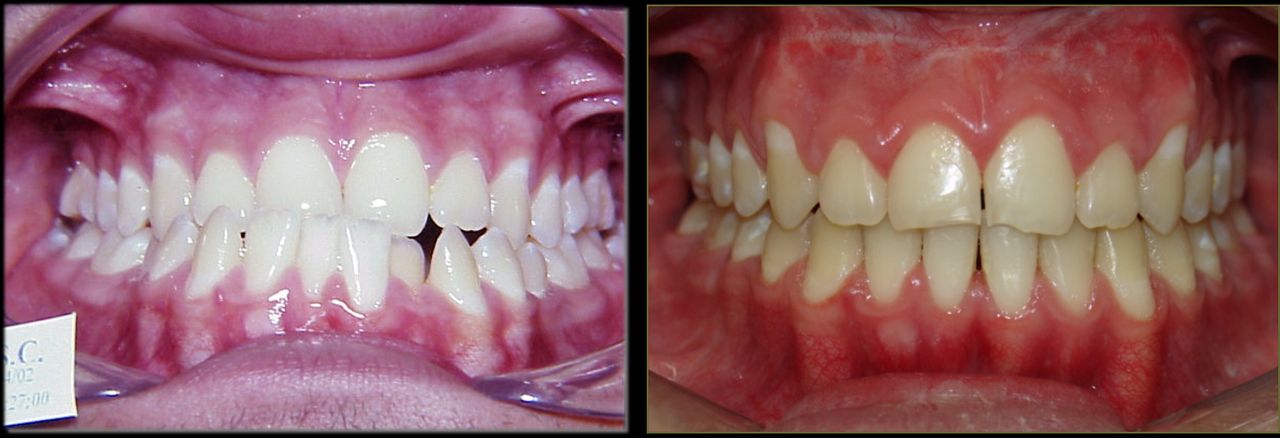
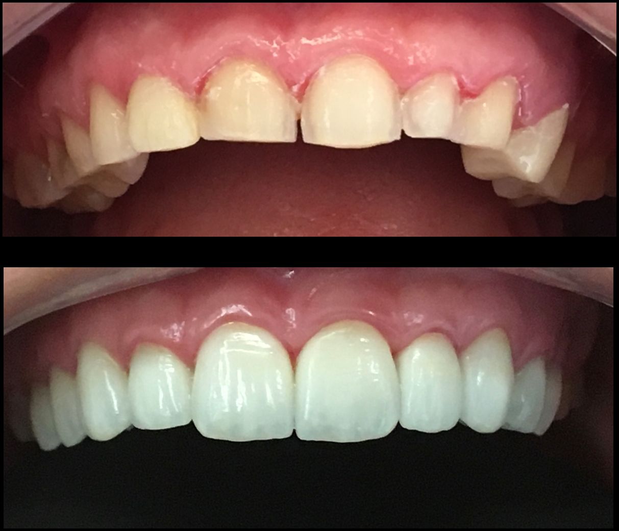
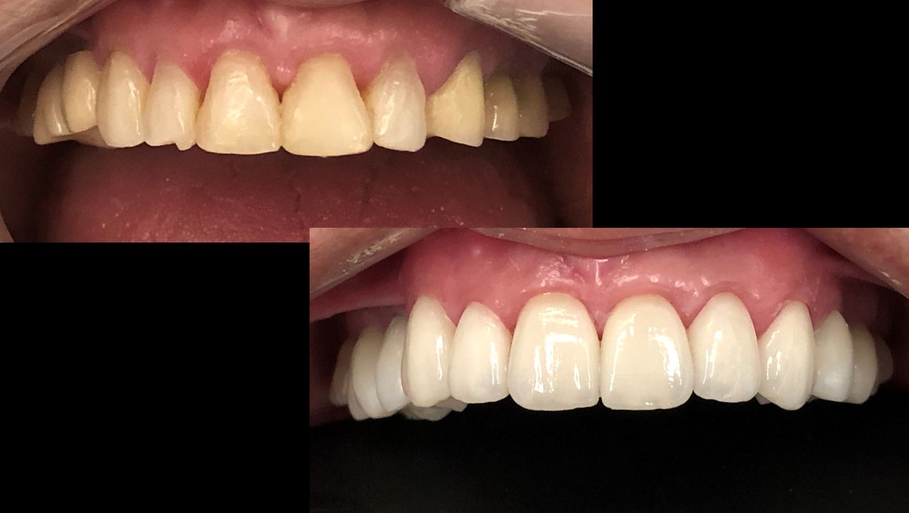
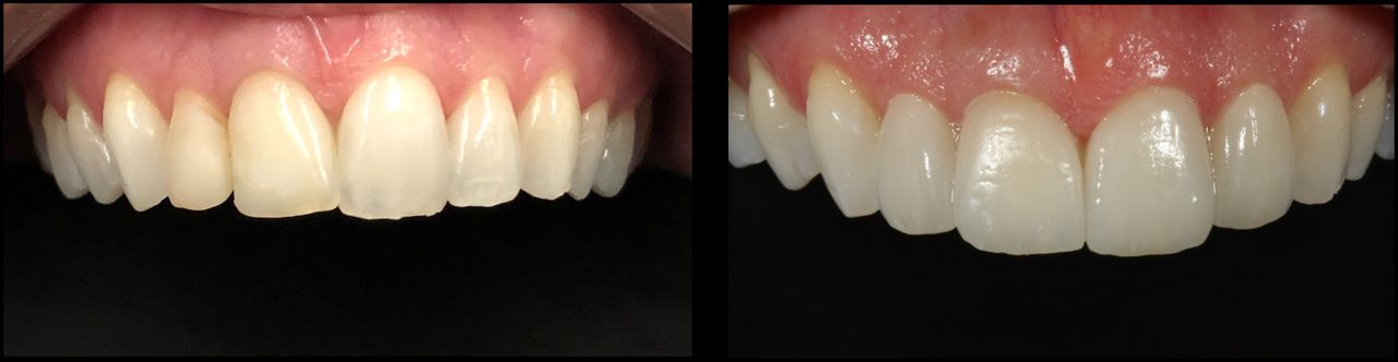
Desta forma restauramos sorrisos devolvendo a condição de saúde e a função mastigatória com os melhores resultados estéticos proporcionando um aumento da auto estima dos nossos pacientes!
Experiência em:
- Ortodontia estetica
- Ortodontia e ortopedia facial
- Ortopedia funcional dos maxilares
- Alinhadores
Principais doenças tratadas
- Cárie dentária
- Bruxismo
- Dor de dente
- Gengivite
- Diastema
- +39 a11y_sr_more_diseases
Pacientes que trato
Formatos de consulta
Fotos e vídeos
Serviços e preços
-
Primeira consulta Odontológica
A partir de R$ 200 -
-
Acompanhamento de clareamento dental
-
-
Aparelho Fixo
-
-
Avaliação de clareamento dental
-
-
Clareamento a laser
-
-
-
-
-
-
-
-
-
-
Consultório
Rua Aviador Severiano Lins, 114, Boa Viagem, Recife 51020-060
Disponibilidade
Número de telefone
Planos de saúde não aceitos
Este especialista só aceita pacientes particulares. Você pode pagar particular para marcar, ou encontrar outro especialista que aceite o seu plano de saúde.
Opiniões
113 opiniões
-
Â
Ângela Porto
Dr. Eduardo é um profissional formidável!
Além de preparado, oferece um atendimento diferenciado, com destaque para sua atenção, simpatia, educação, respeito e disponibilidade em explicar tudo nos mínimos detalhes, tirando todas as dúvidas. Estou muito satisfeita e indico a todos, sem qualquer ressalva.• Consultório Dr Eduardo Lacet • Invisalign •
-
H
Hichelat Rocha
Um profissional de uma eficácia sem igual, tenho fobia a dentista , mas o Drº Eduardo nos passa uma segurança tão grande que fiquei totalmente segura.
Amei o atendimento, o ambiente, só tenho elogios para falar.• Consultório Dr Eduardo Lacet • Primeira consulta Odontológica •
-
M
MAP
Muito atencioso e assertivo no diagnóstico. Maravilhoso atendimento!!! Toda a equipe está de parabéns!
• Consultório Dr Eduardo Lacet • Primeira consulta Odontológica •
-
L
LZ
Estava em viagem e precisei de dentista com emergência, encontrei a Clínica Siso, fui muito bem atendida por zap e ligação e a consulta com o Dr. Eduardo foi no dia seguinte. A Clínica tem ótima estrutura, atendimento perfeito foram todos simpáticos, solícitos e muito acolhedores. O Dr. Eduardo é um super profissional, explica tudo direitinho, muito cuidadoso e o meu dente ficou perfeito. Fiz uma faceta de resina e ele ainda deu polimento nas outras facetas.
Com certeza indico. Agradeço a Jagna por prontamente me encaixar e dicas da cidade. Parabéns à toda equipe.• Consultório Dr Eduardo Lacet • Restauração dental •
Dr. Eduardo Lacet
Obrigado pelas palavras e pela confiança!!! Estou sempre a disposição quando precisar!! Um excelente carnaval!!
-
C
Cristiano Sobral
Exemplo de profissional, tecnicamente impecável e extremamente cordial no atendimento.
• Consultório Dr Eduardo Lacet • Restauração dental •
Dr. Eduardo Lacet
Obrigado, Cristiano!! Sempre um prazer em tê-lo conosco!
-
L
LCMG
Fui atendido no horário e o resultado foi muito bom
• Consultório Dr Eduardo Lacet • Coroa provisória •
Dr. Eduardo Lacet
Feliz com sua satisfação!!
-
F
Fredy Alexander
Excelente atendimento, profissional muito atencioso e qualificado. Será a minha recomendação de primeira mão.
• Consultório Dr Eduardo Lacet • Restauração dental •
Dr. Eduardo Lacet
Obrigado, Fredy!! Estou sempre a disposição!!
-
C
Camila Melaine
Ótimo profissional a equipe toda do consultório são bem atenciosos.
• Consultório Dr Eduardo Lacet • Invisalign •
Dr. Eduardo Lacet
Obrigado, Camila!! Estamos juntos nessa jornada!!
-
A
Ana
Dr Eduardo é um profissional competente que conhecemos a mais de 25 anos.
Ele cuida do sorriso de meu filho desde que ele tinha 8 anos.
Me atendeu com todo cuidado e carinho de sempre, explicando detalhes da minha condição. Recomendo!• Consultório Dr Eduardo Lacet • Controle ortodôntico •
Dr. Eduardo Lacet
Ana, é sempre um prazer tê-los conosco aqui!! Feliz em poder acompanhá-los neste tempo!!
-
C
Carlos Muniz
Sempre tudo muito organizado, equipe extremamente atenciosa
• Consultório Dr Eduardo Lacet • Restauração dental •
Dr. Eduardo Lacet
Um prazer poder contribuir com esse sorriso!!
Dúvidas respondidas
3 dúvidas de pacientes respondidas na Doctoralia
Eu estou com uma cárie profunda no dente do siso o que levou a inflamação (ou infecção, não sei), além de ele estar perto de um nervo. Eu estou sentindo uma dor absurdamente INSUPORTÁVEL e que sequer passa com ibuprofeno e não me deixa dormir, comer ou fazer qualquer atividade básica do dia a dia, é normal sentir essa dor por esse motivo? Tem algo que possa ser feito para ajudar a aliviar? Estou com cirurgia para extração marcada mas antes tenho que fazer tratamento com antibiótico, porém estou tomando antibiótico há 2 dias e não tive nenhuma melhora na dor, é normal? Eu moro fora do país então fico receosa com os profissionais daqui.
Olá, concordo com a colega, o que também poderia ser feito, seria uma abertura coronária, ou seja, fazer o acesso a polpa, como se fosse o início de um tratamento endodôntico (canal) e colocar a medicação adequada. Nas situações de pulpite, que é essa dor que você descreveu, o antibiótico não vai resolver. Estimo melhoras!
o ultimo bracket do aparelho se soltou e o fio estava machucando muito(estava sem cera ortodontica), era madrugada e nao consegui dormir e acabei tirando o fio por completo, oq fazer? quanto tempo posso esperar ate uma noca consulta?
Olá, melhor entrar em contato com o seu ortodontista o quanto antes. Dependendo da fase em que se encontra o tratamento, o ideal é recolocar o mais breve possível!
Todos os conteúdos publicados no doctoralia.com.br, principalmente perguntas e respostas na área da medicina, têm caráter meramente informativo e não devem ser, em nenhuma circunstância, considerados como substitutos de aconselhamento médico.
Perguntas frequentes
-
Quais são as principais especialidades de Eduardo Lacet?Eduardo Lacet é dentista. Te mostramos alguns dos serviços oferecidos pelo especialista graças à sua trajetória e vasta experiência: Primeira consulta Odontológica, Invisalign, Limpeza, Profilaxia, Aparelho Fixo, Manutenção de aparelho fixo, Acompanhamento de clareamento dental, Clareamento a laser, Clareamento dental, Avaliação de clareamento dental.
-
Onde fica o consultório de Eduardo Lacet?Eduardo Lacet atende em:
- Rua Aviador Severiano Lins, 114 Recife
-
Posso passar por atendimento online com Eduardo Lacet, sem ter que ir até o consultório?Não, no momento Eduardo Lacet não oferece atendimento online.
-
Quais métodos de pagamento são aceitos por Eduardo Lacet?Eduardo Lacet aceita os seguintes métodos de pagamento: Dinheiro, Cartão de Crédito, Cartão de Débito, Cheque, Transferência Bancária, PIX.
-
Em quais idiomas Eduardo Lacet atende?Eduardo Lacet atende em Espanhol, Inglês.
-
Como posso marcar uma consulta com Eduardo Lacet?O calendário que Eduardo Lacet exibe em seu perfil na Doctoralia é atualizado em tempo real. Tudo o que precisa é escolher o dia e a hora que forem mais convenientes para você. O agendamento é gratuito e você também recebe um lembrete antes da consulta.
-
Quando poderia me consultar com Eduardo Lacet?Eduardo Lacet costuma ter horários disponíveis dentro da mesma semana ou para a semana seguinte. Verifique o calendário: você verá o primeiro horário disponível, atualizado em tempo real. Caso o horário sugerido não funcione para você, verifique outras datas. Agendar uma consulta é sempre imediato e gratuito.
-
O que outros pacientes opinam sobre Eduardo Lacet?Um total de 113 pacientes já deixou uma opinião honesta e real sobre Eduardo Lacet, que tem uma avaliação média de 5 estrelas (de 5).
-
Quais são os convênios aceitos por Eduardo Lacet?Eduardo Lacet não aceita convênios, apenas pacientes particulares. Recomendamos que caso tenha alguma dúvida, entre em contato com o especialista.