Dr. Neander Guitarrare Peraro

Dentista · Mais sobre as especializações

Três Corações 1 endereço

Número de registro: CRO MG 16035

73 opiniões
Tempo estimado de resposta:

Experiência

Com experiência clínica de 35 anos, especialista em Dentistica( Estética Dental), especialista em Implantodontia e Mestrando em Prótese Dental ( Lente de Contato).
Realizo Cirurgia de Implante Guiada buscando mais precisão e conforto para o paciente.
Trabalho com um dos melhores laboratório de prótese do Brasil.
mais Sobre mim

Experiência em:

  • Prótese dentária
  • Protese sobre implante
  • Implantodontia
  • Odontologia estética

Pacientes que trato

Adultos
Crianças

Formatos de consulta

Presencial Ver locais (1)

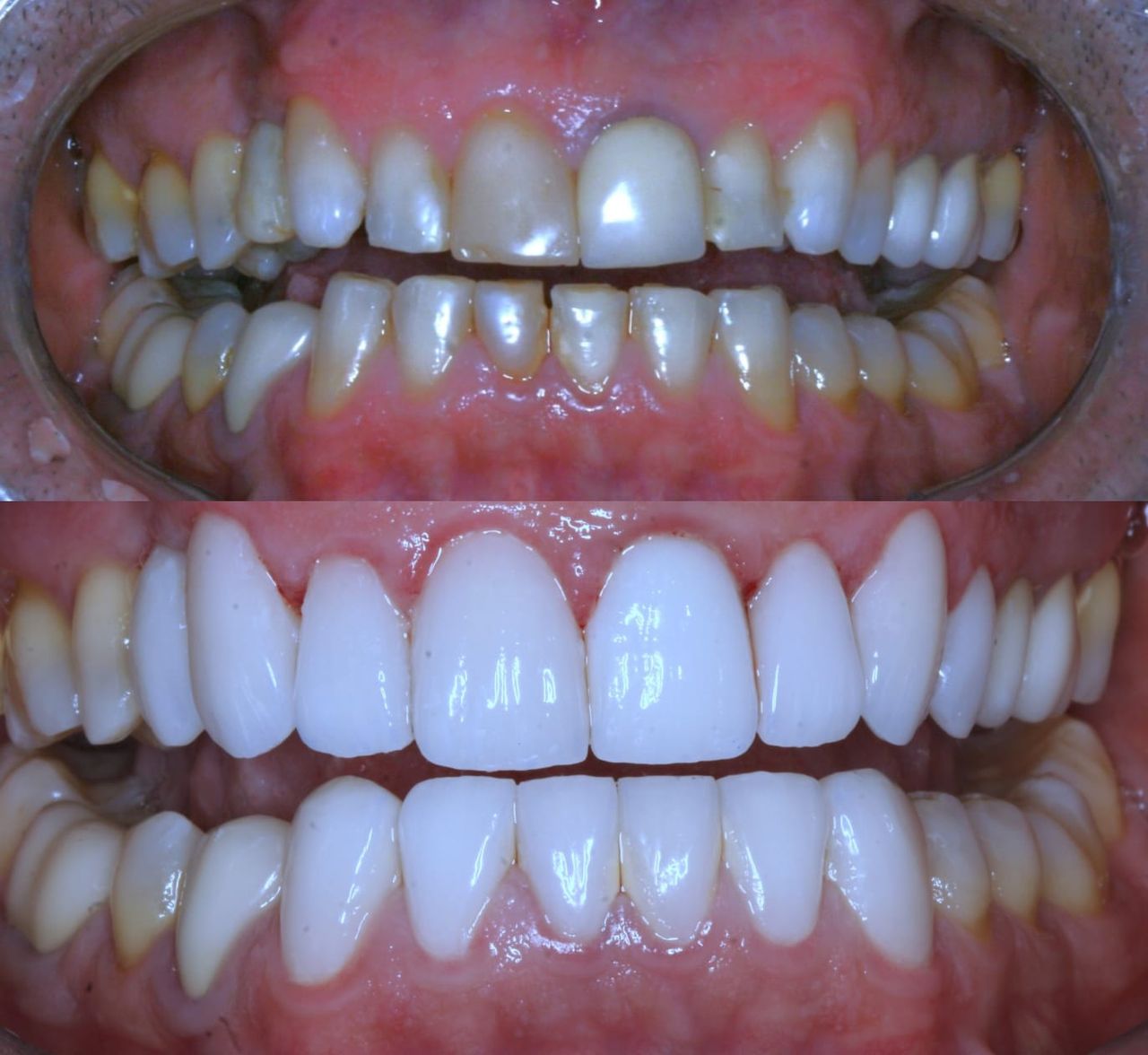
Fotos e vídeos

Novidades

Dr. Neander Guitarrare Peraro

Rua José Vinagre 542, Três Corações 37410015

O consultório é equipado com Scanner Odontológico, não usa mais a massa pra moldar,o Scanner faz isso.

18/08/2025

Serviços e preços

  • Consulta Odontológica

    A partir de R$ 150

  • Implantes dentários


  • Restauração dental


  • Raspagem periodontal


  • Prótese sobre implantes


Consultório

Neander Guitarrare Peraro
Dr.Neander Guitarrari Peraro

Rua José Vinagre 542, Três Corações 37410015

Ampliar o mapa abre num novo separador

Disponibilidade

Modalidades de pagamento (visitas privadas)

  • Dinheiro
  • Cartão de Crédito
  • Cartão de Débito
  • Transferência Bancária

Número de telefone

(35) 98891...
(35) 3235...

Planos de saúde não aceitos

Este especialista só aceita pacientes particulares. Você pode pagar particular para marcar, ou encontrar outro especialista que aceite o seu plano de saúde.

73 opiniões

Mais mencionado pelos pacientes

  • Atencioso durante a consulta
  • Eficácia do tratamento
  • Pontual
Todas as opiniões são importantes, por isso os especialistas não podem pagar para alterar ou excluir uma opinião. Saiba mais. Saber mais sobre pareceres
  • B

    Gostei muito, profissional cuidadoso, hábil, caprichoso, honesto.

     • Dr.Neander Guitarrari Peraro Profilaxia dental (limpeza)  • 

  • M

    É um profissional, consciente.
    Deu todas as informações
    Das três opções que tenho

     • Dr.Neander Guitarrari Peraro Consulta Odontológica  • 

  • F

    Excelente profissional!
    Gostei do atendimento e qualidade também.

     • Dr.Neander Guitarrari Peraro Protese de Porcelana  • 

  • M

    Um excelente profissional, atencioso e muito dedicado no que faz.

     • Dr.Neander Guitarrari Peraro Protese de Porcelana  • 

  • A

    Gostei muito da primeira consulta, dr. Neander foi bem atencioso e explicou muito bem sobre a minha situação.

     • Dr.Neander Guitarrari Peraro Primeira consulta Odontológica  • 

  • P

    Cirurgião dentista, da minha família, com saúde não se brinca, tem de ser o melhor de todos. Obrigado sempre

     • Dr.Neander Guitarrari Peraro Implantes dentários  • 

  • D

    Profissional atencioso, explica todo o processo, passa segurança no atendimento. Resolve de forma rápida o problema

     • Dr.Neander Guitarrari Peraro Consulta Odontológica  • 

  • L

    Excelente profissional...... recomendo......
    Sempre atencioso

     • Dr.Neander Guitarrari Peraro Consulta Odontológica  • 

  • O

    Excelente profissional, atencioso, gentil e com admirável simplicidade!

     • Dr.Neander Guitarrari Peraro Retorno de consultas Odontologia  • 

  • M

    Eficiência e gentileza
    Clareza nas explicações
    Pontualidade

     • Dr.Neander Guitarrari Peraro Restauração estética  • 

Ocorreu um erro, tente outra vez

Perguntas frequentes