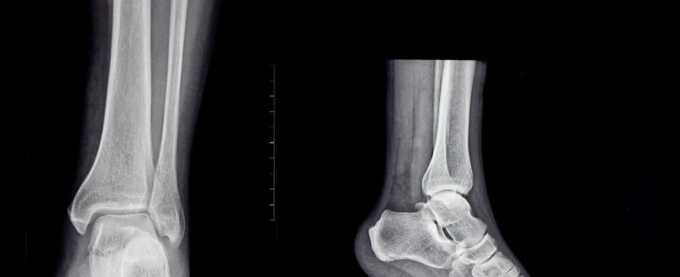
Radiografia do pé
A radiografia do pé é um exame de imagem essencial para diagnosticar e monitorar condições que afetam os ossos, articulações e tecidos adjacentes do pé. Este procedimento é frequentemente solicitado para avaliar dores, deformidades, lesões traumáticas ou progressão de doenças degenerativas e inflamatórias.
Para que é utilizada a radiografia do pé?
O exame de radiografia do pé é fundamental para detectar fraturas, luxações, artrite, osteoporose, alterações na estrutura óssea ou problemas causados por uso inadequado de calçados e prática esportiva. Também é útil para o acompanhamento da evolução de tratamentos ortopédicos ou cirúrgicos, fornecendo informações valiosas sobre a disposição e a recuperação dos ossos.
Como funciona a radiografia do pé?
Durante uma radiografia do pé, o paciente posiciona o pé em um suporte especial enquanto uma pequena quantidade de raios X atravessa a região. Os raios X são absorvidos em diferentes graus pelas diversas estruturas do corpo, criando uma imagem em tons de cinza que mostra ossos e certas estruturas de tecido mole. Este exame é rápido, não invasivo e oferece detalhes críticos para um diagnóstico preciso.
Quanto tempo leva a radiografia do pé?
A radiografia do pé é geralmente um procedimento muito rápido. O exame em si pode ser concluído em apenas alguns minutos. O paciente pode precisar de ajustes na posição do pé para obter diferentes ângulos, garantindo uma visão abrangente da área examinada.
Como se preparar para a radiografia do pé?
A preparação para a radiografia do pé é simples. Não é necessário jejum ou interrupção de medicamentos. Recomenda-se vestir roupas confortáveis e fáceis de retirar. É importante remover qualquer joia ou objeto metálico que esteja próximo ao pé. Informe ao técnico sobre qualquer implante ortopédico ou outra condição médica relevante.
Preços do serviço por cidade
-
Rio de Janeiro A partir de R$ 80
15 clínicas, 0 especialistas
-
São Paulo A partir de R$ 62
6 clínicas, 6 especialistas
-
Salvador A partir de R$ 55
8 clínicas, 0 especialistas
-
Curitiba A partir de R$ 50
4 clínicas, 1 especialista
-
Barueri A partir de R$ 67
1 clinica, 0 especialistas
-
Brasília A partir de R$ 100
1 clinica, 0 especialistas
Radiografia do pé: especialistas e clínicas recomendados
Perguntas frequentes
-
Quais cuidados tomar após a realização de uma radiografia do pé?
Após a realização de uma radiografia do pé, não são necessários cuidados especiais. O paciente pode retornar às suas atividades normais imediatamente, a menos que haja outra indicação médica. É importante seguir as orientações do médico sobre o tratamento ou acompanhamento da condição diagnosticada através do exame.
-
Quem está qualificado para interpretar a radiografia do pé?
A interpretação da radiografia do pé deve ser realizada por um radiologista, especializado em diagnóstico por imagem. Após analisar as imagens, o radiologista produzirá um laudo detalhando as observações que será enviado ao médico solicitante. Este laudo será utilizado para orientar futuras decisões de tratamento.
-
Qual a principal diferença entre radiografia e ultrassonografia do pé?
Embora ambas as técnicas sejam utilizadas para visualizar o interior do pé, a radiografia é mais eficaz para examinar os ossos e detectar fraturas ou alterações ósseas. A ultrassonografia é preferível para avaliar as estruturas de tecido mole, como tendões e ligamentos, além de identificar possíveis inflamações.
-
Os diabéticos precisam de cuidados especiais para fazer uma radiografia do pé?
Não há necessidades especiais para diabéticos ao realizar uma radiografia do pé, mas é importante manter o controle glicêmico estável, especialmente se houver feridas ou ulcerações. Informe o médico sobre sua condição de diabetes, pois isso pode ser relevante para o diagnóstico de certas condições, como a osteomielite diabética.
-
A radiografia do pé pode ser repetida várias vezes?
A radiografia do pé pode ser repetida conforme necessário para acompanhar a progressão de uma doença ou o sucesso de um tratamento. No entanto, como qualquer exame que envolva radiação, a frequência de repetição deve ser cuidadosamente considerada e justificada pelo médico, equilibrando o benefício diagnóstico com a exposição à radiação.
-
A radiografia do pé pode detectar todas as condições relacionadas ao pé?
A radiografia do pé é extremamente útil para identificar uma variedade de condições ósseas, incluindo fraturas, luxações e doenças degenerativas. No entanto, ela tem suas limitações, especialmente quando se trata de visualizar tecidos moles como ligamentos, tendões, e músculos, que podem exigir outros tipos de exames de imagem, como a ressonância magnética (RM) ou ultrassonografia. Portanto, dependendo dos sintomas e do diagnóstico preliminar, o médico pode recomendar exames adicionais para obter uma avaliação completa de todas as estruturas do pé.
A publicação do presente conteúdo no site da Doctoralia é feita sob autorização expressa do autor. Todo o conteúdo do site está devidamente protegido pela legislação de propriedade intelectual e industrial.
O site da Doctoralia Brasil Serviços Online e Software Ltda não substitui uma consulta com um especialista. O conteúdo desta página, bem como os textos, gráficos, imagens e outros materiais foram criados apenas para fins informativos e não substituem diagnósticos ou tratamentos de saúde. Em caso de dúvida sobre um problema de saúde, consulte um especialista.