Dra.
Mariane Gonçalves de Freitas Santos
Dentista
mais
Niterói 1 endereço
Aceita apenas pacientes particulares
Número de registro: CRO RJ 40312
109 opiniõesExperiência
Sou Mariane, uma cirurgiã-dentista que preza por uma odontologia minimamente invasiva; que busca a harmonia e a naturalidade no resultado final dos casos, e que está sempre levando em consideração o desejo e a expectativa do paciente.
Estou a frente da Zoe Odontologia integrada, uma clínica multidisciplinar, que conta com profissionais extremamente qualificados para atender em todas as especialidades da odontologia.
Aqui na Zoe, o nosso lema é: acolhimento, humanização em todos os processos, atendimento individualizado e personlizado.
Além disso, por muito tempo fui intérprete de Língua de Sinais Brasileira (LIBRAS), e, justamente por isso, sou apta a atender SURDOS e/ou deficientes auditivos com um maior conforto.
Para me conhecer um pouco mais vá ao meu perfil do instagram.( marianefreitas83).
Contem comigo!!
*Atendimento particular. Não aceitamos planos.
Experiência em:
- Implantodontia
- Prótese
- Disfunção temporomandibular e dor orofacial
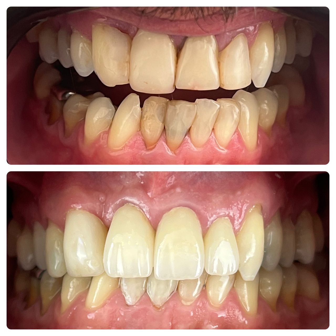
- Clareamento dental
Planos de saúde não aceitos
Este especialista só aceita pacientes particulares. Você pode pagar particular para marcar, ou encontrar outro especialista que aceite o seu plano de saúde.
Consultório
Avenida Ernani do Amaral Peixoto 71, sala 902, Centro, Niterói
Disponibilidade
Número de telefone
Galeria
Serviços e preços
-
Primeira consulta Odontológica
A partir de R$ 150 -
-
Implantes dentários
-
-
Tratamento de canal
-
-
Restauração dental
-
-
Raspagem periodontal
-
-
-
-
-
-
-
-
-
-
-
-
-
-
-
-
-
-
-
-
-
-
-
-
-
-
-
-
-
-
Opiniões
109 opiniões
Destaque
-
L
Luciana
Gostei muito da Mariane, me explicou nos detalhes, ela é muito atenciosa e eficiente.
E muito simpática também
O consultorio é mt bom e um ambiente acolhedor.
Gostei mt e fechei o tratamento com ela.
• Dra. Mariane Freitas - Zoe Odontologia Integrada • Primeira consulta Odontológica •
Dra. Mariane Gonçalves de Freitas Santos
Obrigada pela confiança depositada em mim e na minha equipe.
-
L
Luiz Roberto Bodstein
Nota máxima em cada quesito; confiabilidade, conhecimento técnico, competência, atenção para ouvir, tranquilidade, mas, principalmente, acolhimento e transparencia.
• Dra. Mariane Freitas - Zoe Odontologia Integrada • Consulta Dentista •
Dra. Mariane Gonçalves de Freitas Santos
Obrigada pelos apontamentos.
-
B
Bruna
Atendimento impecável, ambiente limpo e organizado. Ótimos Profissionais
• Dra. Mariane Freitas - Zoe Odontologia Integrada • Tratamento de canal •
-
M
Maria
A minha experiência com a Dra Mariane foi excelente, desde a primeira consulta até o final do tratamento. A Dra foi muito atenciosa e fiquei satisfeita com o resultado. Recomendo 100%.
• Dra. Mariane Freitas - Zoe Odontologia Integrada • Coroas em cerâmica •
-
A
Areta Peixoto
A experiência que tivemos com a Drª Mariane foi excelente desde o primeiro contato. A procurei por indicação de amiga. Mariane se colocou muito disponível em nos atender; e se portou de forma sempre muito cuidadosa, em especial, com minha mãe, que demandou muita atenção e cuidado, principalmente nas orientações.
Formada pela UFF (uma escola de excelência em odontologia), não poupou esforços em nos entregar um serviço de máxima qualidade, ainda que mediante minha grande urgência de tempo, demonstrando total empatia por nosso caso.
Tudo ficou incrível! E a prótese da minha mãe foi o que mais me surpreendeu pela estética perfeita!
A auxiliar, Tai, também sempre se portou de forma muito cuidadosa conosco, estando pronta a nos ajudar durante todo o tempo de permanência no consultório.
Sobre o consultório: ambiente acolhedor, extremamente limpo e organizado, seguindo as normas da vigilância sanitária.
Resumindo: recomendo totalmente!• Dra. Mariane Freitas - Zoe Odontologia Integrada • Outro •
-
C
Claugeane Costa
Muito atenciosa. Ao longo do atendimento foi me explicando passo a passo do processo, sobre as opções e possibilidades.
• Dra. Mariane Freitas - Zoe Odontologia Integrada • Primeira consulta Odontológica •
-
I
Isabella Pinto
Ontem fui atendida pela dentista Yasmin. Ela foi bastante cuidadosa durante o procedimento e me explicou todos os detalhes do pós-cirurgia. A dentista Mariane acompanhou o atendimento também. Foi minha segunda consulta e sigo satisfeita.
• Dra. Mariane Freitas - Zoe Odontologia Integrada • Gengivectomia •
-
I
Isabella Pinto
O atendimento da Dra Mariane e da assistente Taiana foram ótimos. Estou muito satisfeita com a primeira consulta. Recomendo
• Dra. Mariane Freitas - Zoe Odontologia Integrada • Primeira consulta Odontológica •
-
V
Vanderlei
Começando meu tratamento, porém se mostra muito atenciosa,explicando tudo com detalhes.Me passa segurança.Muito pontual,sem contar a recepção com um ótimo atendimento.
• Dra. Mariane Freitas - Zoe Odontologia Integrada • Retorno de consultas Odontologia •
-
L
Lucas M.
O atendimento da Dra. Mariane foi muito bom e fiquei bastante satisfeito. Ela demonstrou conhecimento, foi extremamente educada e explicou tudo com muita clareza. Atendimento de excelente qualidade!
• Dra. Mariane Freitas - Zoe Odontologia Integrada • Profilaxia dental (limpeza) •
Perguntas frequentes
-
Quais são as principais especialidades de Mariane Gonçalves de Freitas Santos?Mariane Gonçalves de Freitas Santos é dentista. Te mostramos alguns dos serviços oferecidos pelo especialista graças à sua trajetória e vasta experiência: Consulta Dentista, Aparelho estético, Instalação de aparelho móvel, Primeira consulta Odontológica, Clareamento dental caseiro, Placa miorrelaxante, Aparelho Fixo, Retorno de consultas Odontologia, Clareamento dental, Aplicação da toxina botulínica.
-
Onde fica o consultório de Mariane Gonçalves de Freitas Santos?Mariane Gonçalves de Freitas Santos atende em:
- Avenida Ernani do Amaral Peixoto 71, sala 902 Niterói
-
Posso passar por atendimento online com Mariane Gonçalves de Freitas Santos, sem ter que ir até o consultório?Não, no momento Mariane Gonçalves de Freitas Santos não oferece atendimento online.
-
Em quais idiomas Mariane Gonçalves de Freitas Santos atende?Mariane Gonçalves de Freitas Santos atende em Português.
-
Como posso marcar uma consulta com Mariane Gonçalves de Freitas Santos?O calendário que Mariane Gonçalves de Freitas Santos exibe em seu perfil na Doctoralia é atualizado em tempo real. Tudo o que precisa é escolher o dia e a hora que forem mais convenientes para você. O agendamento é gratuito e você também recebe um lembrete antes da consulta.
-
Quando poderia me consultar com Mariane Gonçalves de Freitas Santos?Mariane Gonçalves de Freitas Santos costuma ter horários disponíveis dentro da mesma semana ou para a semana seguinte. Verifique o calendário: você verá o primeiro horário disponível, atualizado em tempo real. Caso o horário sugerido não funcione para você, verifique outras datas. Agendar uma consulta é sempre imediato e gratuito.
-
O que outros pacientes opinam sobre Mariane Gonçalves de Freitas Santos?Um total de 109 pacientes já deixou uma opinião honesta e real sobre Mariane Gonçalves de Freitas Santos, que tem uma avaliação média de 5 estrelas (de 5).
-
Quais são os convênios aceitos por Mariane Gonçalves de Freitas Santos?Mariane Gonçalves de Freitas Santos não aceita convênios, apenas pacientes particulares. Recomendamos que caso tenha alguma dúvida, entre em contato com o especialista.