Dra.
Patricia Di Todaro
Dentista
·
Mais
Araraquara 2 endereços
Número de registro: CROSP 43848
625 opiniõesPacientes deste especialista retornam para outras consultas.
Experiência
Amo estar no meu consultório !
Já estou na terceira geração ( atendo o avo, o pai e o neto !) e espero chegar na quarta ( jã pensou atender o bisneto ?!!!) pois penso em nunca me aposentar !
“Minha profissão me trouxe muitas realizações. Ser ortodontista é muito gratificante, pois meu trabalho interfere diretamente na autoestima . O sorriso é o cartão de visitas das pessoas !
Experiência em:
- Ortodontia e ortopedia facial
- Ortopedia funcional
- Ortodontia estetica
- Ronco e apneia
Principais doenças tratadas
- Bruxismo
- Má Oclusão
- Diastema
- Dentes tortos
- Disfunção da ATM
- +6 a11y_sr_more_diseases
Pacientes que trato
Fotos e vídeos
Serviços e preços
-
Aplicação da toxina botulínica
-
-
Avaliação e orçamento
A partir de R$ 0 -
-
Clareamento dental
-
-
Clareamento dental a laser
-
-
Clareamento dental caseiro
-
-
-
-
Artigos
Má Oclusão
Má oclusão de forma prática consiste em qualquer problema de mastigação ou encaixe dos dentes Hoje em dia é de fácil tratamento e há inúmeras técnicas e tipos de aparelho disponíveis , mas deve se tratar uma má oclusão sempre com um especialista em Ortodontia , Ortopedia facial e disfunção temporo mandibular. Esse profissonal é o mais indicado para tratar sua Má Oclusão de forma integral.
Disfunção da ATM
A disfunção de ATM (articulação temporo mandibular) é muito comum, e é de difícil tratamento pois é multifatorial , isto é não é causada por um fator mas sim inúmeros !!!! Deve ser tratada por um dentista que seja especialista nessa área pois com o tempo pode se agravar comprometendo o paciente em seu trabalho, vida pessoal e profissional !
Diastema
Diastemas são espaços grandes entre dentes , que são ocasionados por perdas dentais , ou por dentes menores que o necessário , dentes conóides( dentes mal formados ) , devido a inserção baixa do freio anterior ... enfim um dentista especialista em Ortodontia vai poder ajudar você. Há várias formas de resolver os diastemas depende da causa ! Informe-se e tenha um sorriso perfeito , sem diastemas !
Dentes tortos
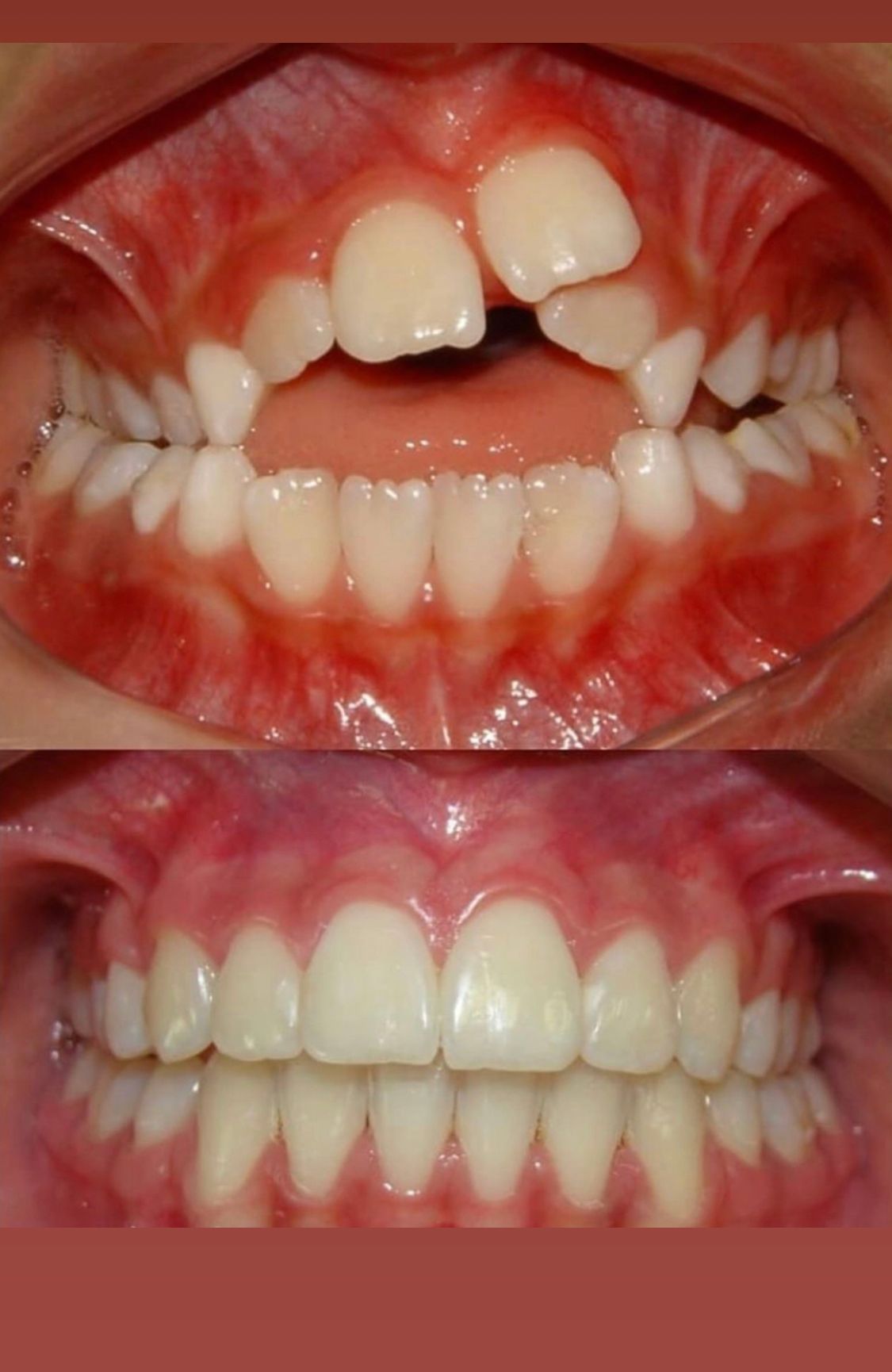
Dentes tortos além de comprometer a estética do seu sorriso podem trazer diversos problemas como :dor de cabeça, problemas de gengiva pois dificultam a higiene , cáries, dores musculares ... Hoje em dia há inúmeras técnicas e tipos de aparelho para alinhar os dentes ! Após os exames adequados o dentistas vai orientar o que é indicado para você dentro do diagnóstico feito ! Hoje em dia todos podem ter um sorriso e função mastigatória perfeitos !
Dente Impactado
Um dente impactado é um dente que por algum motivo não conseguiu nascer ! O ideal é tentar trazer esse dente para a oclusão. É necessário fazer diversos exames para avaliar qual a melhor estratégia . Em ultimo caso o dente impactado deve ser extraido pois pode danificar as raizes dos dentes que estão ao seu lado ou formar cistos . Não exite em procurar o seu dentista!
Consultórios (3)
Rua Padre Duarte 1573, Centro, Araraquara 14801-310
Disponibilidade
Número de telefone
R. Maj. Antônio Biavatti, 18, Doutor Tancredo De Almeida Neves, Araraquara 14808-217
Disponibilidade
Número de telefone
Disponibilidade
Este especialista não oferece agendamento online neste endereço
Número de telefone
Planos de saúde aceitos
Os planos de saúde são aceitos, mas a cobertura varia de acordo com o local e o serviço. Confirme durante a etapa de agendamento!
-
Bradesco Saúde
-
Sul América Saúde
-
Amil
-
NotreDame Intermédica
-
Porto Seguro
Opiniões
625 opiniões
-
G
Giseli Mello
Minha filha é apaixonada pela Dra. Patrícia, e eu compartilho da mesma admiração. Demorei para escrever essa avaliação porque queria ter certeza de cada palavra. Desde a primeira consulta fomos recebidas com carinho e atenção. É um lugar que transmite confiança. A clínica é linda, organizada e com limpeza impecável. As secretárias e assistentes são educadas, atenciosas, pacientes, inteligentes e cuidadosas, o atendimento é excepcional!
A Dra. Patrícia é diferenciada, extremamente inteligente, segura, detalhista e humana. O tratamento é assertivo, sem enrolação e sem procedimentos desnecessários, tudo claro e bem explicado. Já passei por vários dentistas quando usei aparelho e nunca encontrei profissional com tanta segurança e conhecimento. Quando a pessoa sabe o que faz, isso aparece nos detalhes e nos resultados. Hoje me desloco de outra cidade para minha filha ser atendida por ela. O valor é acessível e vale muito mais do que é cobrado. Recomendo de olhos fechados!• Ortodontia Di Todaro • Atendimento •
-
F
Fernanda
Fui fazer uma avaliação e a Dra Patrícia foi muito simpática e atenciosa, explicou detalhadamente o tratamento. Fiquei muito confiante e satisfeita.
• Ortodontia Di Todaro • Avaliação e orçamento •
-
I
I.C
Ambiente agradável, boa recepção, bom atendimento
• Ortodontia Di Todaro • Outro •
Dra. Patricia Di Todaro
Muito obrigada por sua avaliação.
-
J
Jhony Grecco
Fui muito bem atendido pela Dra. Patrícia Di Todaro. Ela explicou de forma clara que o Invisalign é um sistema de alinhadores transparentes e removíveis, feitos sob medida, que movimentam os dentes de forma discreta e confortável, sem bráquetes ou fios metálicos.
Detalhou que o tratamento é planejado digitalmente, permite visualizar o resultado antes de começar e exige uso de 20 a 22 horas por dia, com trocas periódicas dos alinhadores. Atendimento seguro, objetivo e muito esclarecedor.• Ortodontia Di Todaro • Atendimento •
Dra. Patricia Di Todaro
Jhony muito obrigada por suas palavras, gosto de explicar pq as vezes as exepctativas dos pacientes não condiz com o real ou o possível .O tratamento com alinhadores é o que tem de mais moderno ,confortável e tecnológico mas depende de fatores orgânicos individuais ,subjetivos e de colaboração do paciente .É um caminho onde estarei sempre ao lado fazendo minha parte mas tem a parte do paciente !!!!
-
A
Aline Bispo de Almeida
Atendimento maravilhoso, trabalho de excelente qualidade
• Ortodontia Di Todaro • Outro •
Dra. Patricia Di Todaro
Muito obrigada por suas palavras !
-
F
Fabiula Garcia
Super bem explicado e muito bem detalhado.
Muito satisfeita• Ortodontia Di Todaro • Outro •
Dra. Patricia Di Todaro
Que bom que vc entendeu minhas explicações!
-
D
Dyanne Couto
Ótimo atendimento. Ela é uma pessoa super querida e uma profissional muito atenciosa.
• Ortodontia Di Todaro • Avaliação e orçamento •
Dra. Patricia Di Todaro
Dyanne suas palavras vieram num dia que eu estava precisando! Muito obrigada!
-
E
Edson Z.
Gostaria de registrar minha satisfação com a consulta realizada recentemente; minha experiência foi muito agradável. Ressalto a presteza e a atenção das recepcionistas. Também ressaltar, que fui atendido exatamente no horário marcado, o que demonstra um enorme respeito pelo tempo do paciente.
Quanto à Dra. Patricia, além de muito simpática, demonstrou ser uma excelente profissional. Fiquei muito satisfeito com a forma clara e detalhada com que ela avaliou meu caso e me orientou sobre os próximos passos.
Saí da clínica satisfeito e tranquilo, com a sensação de ter escolhido o lugar certo para cuidar de algo que prezo muito, que é meus dentes.
Muito obrigado a toda equipe!• Ortodontia Di Todaro • Avaliação e orçamento •
Dra. Patricia Di Todaro
Nossa Edson muito obrigada por suas palavras , faz valer a pena !
-
L
Liliane
Fiquei frustrada com o tratamento por alinhadores propostos pois nao cumpre a proposta de discrição
• Ortodontia Di Todaro • Atendimento •
Dra. Patricia Di Todaro
Liliane conforme lhe expliquei é um tratamento , vc acbou de colocar hoje , tem um período de adaptação . Vsc está usando INVISALIGN o melhor alinhador que temos no mercado , o mais estético ! MAis estético que alinhador não há !!! Foque no resultado , no tempo do tratamento .
Para melhorar seu sorriso há um caminho a percorrer !
-
L
Lilia Stuchi
Simpática com as crianças e direta sobre o tratamento. Lais chupa o dedo e a dra foi bem direta em relação a Laís querer o tratamento , sem fazer nada forçado. A criança precisa querer.
Adorei• Ortodontia Di Todaro • Avaliação e orçamento •
Dra. Patricia Di Todaro
Lília muito obrigada por sua avaliação!
É muito importante e gratificante também!
Vou cuidar das suas meninas com muito carinho !
Dúvidas respondidas
70 dúvidas de pacientes respondidas na Doctoralia
É normal ter reflexo de vômito quando coloco o aparelho móvel???
Se for contenção veja uma opção sem palato ( céu da boca) com seu dentista é bem mais confortável !
Tirei dois dentes faz 3 dias já posso colocar o elástico ? Não vai interferir na cicatrização da gengiva ?
Pode colocar sim , mas pergunte ao seu Ortodontista , ele pode optar por alguma alteração de tamanho ou posição do elastico !
Todos os conteúdos publicados no doctoralia.com.br, principalmente perguntas e respostas na área da medicina, têm caráter meramente informativo e não devem ser, em nenhuma circunstância, considerados como substitutos de aconselhamento médico.
Perguntas frequentes
-
Quais são as principais especialidades de Patricia Di Todaro?Patricia Di Todaro é dentista. Te mostramos alguns dos serviços oferecidos pelo especialista graças à sua trajetória e vasta experiência: Clareamento dental, Clareamento dental caseiro, Clareamento dental a laser, Aplicação da toxina botulínica, Preenchimento labial, Atendimento, Avaliação e orçamento, Moldagem para contenção, Teleconsulta.
-
Onde fica o consultório de Patricia Di Todaro?Patricia Di Todaro atende em:
- Rua Padre Duarte 1573 Araraquara
- R. Maj. Antônio Biavatti, 18 Araraquara
-
Posso passar por atendimento online com Patricia Di Todaro, sem ter que ir até o consultório?Sim, Patricia Di Todaro oferece atendimento online. Basta selecionar "Teleconsulta" ao agendar sua consulta e você poderá ver as datas e horários disponíveis.
-
Quais métodos de pagamento são aceitos por Patricia Di Todaro?Patricia Di Todaro aceita os seguintes métodos de pagamento: Cartão de Crédito, Cartão de Débito, Depósito Bancário, Transferência Bancária, PIX.
-
Em quais idiomas Patricia Di Todaro atende?Patricia Di Todaro atende em Inglês.
-
Como posso marcar uma consulta com Patricia Di Todaro?O calendário que Patricia Di Todaro exibe em seu perfil na Doctoralia é atualizado em tempo real. Tudo o que precisa é escolher o dia e a hora que forem mais convenientes para você. O agendamento é gratuito e você também recebe um lembrete antes da consulta.
-
Quando poderia me consultar com Patricia Di Todaro?Patricia Di Todaro costuma ter horários disponíveis dentro da mesma semana ou para a semana seguinte. Verifique o calendário: você verá o primeiro horário disponível, atualizado em tempo real. Caso o horário sugerido não funcione para você, verifique outras datas. Agendar uma consulta é sempre imediato e gratuito.
-
O que outros pacientes opinam sobre Patricia Di Todaro?Um total de 625 pacientes já deixou uma opinião honesta e real sobre Patricia Di Todaro, que tem uma avaliação média de 5 estrelas (de 5).
-
Quais são os convênios aceitos por Patricia Di Todaro?Estes são alguns dos convênios aceitos por Patricia Di Todaro: Amil, Bradesco Saúde, NotreDame Intermédica, Porto Seguro, Sul América Saúde, Unimed Odonto, Odontoprev, Care Plus. Verifique a lista completa de convênios aceitos.