Sou Cirurgiã-Dentista formada em 2005 pela Universidade Federal de Goiás. Sou Especialista em Periodontia e Implantodontia, com diversos cursos de média e longa duração nas áreas de reabilitação oral ( lentes de resina, facetas de porcelana, próteses, prótese protocolo).
Atendemos com horário agendado, para um atendimento personalizado, onde fazemos a avaliação geral e conversamos com o paciente para entender suas necessidades e construir o correto diagnóstico e plano de tratamento.
Atendimento somente à adultos.
Não atendemos convênios.
Sou Cirurgiã-Dentista formada em 2005 pela Universidade Federal de Goiás. Sou Especialista em Periodontia e Implantodontia, com diversos cursos de média e longa duração nas áreas de reabilitação oral ( lentes de resina, facetas de porcelana, próteses, prótese protocolo).
Atendemos com horário agendado, para um atendimento personalizado, onde fazemos a avaliação geral e conversamos com o paciente para entender suas necessidades e construir o correto diagnóstico e plano de tratamento.
Atendimento somente à adultos.
Não atendemos convênios.
Novidade no consultório desde 2024: moto elétrico de alta rotação para subsitituir o tão odiado "motorzinho do dentista". É um aparelho mais eficiente e mais silencioso que o "motorzinho", tornando o atendimento mais rápido e agradável.
Além disso esse é o equipamento número 1 quando pensamos em melhorar a técnica de preparo dos dentes para receberem facetas e lentes.
Um investimento que se traduz em padrão de excelência e conforto para o paciente.
Novidade no consultório desde 2024: moto elétrico de alta rotação para subsitituir o tão odiado "motorzinho do dentista". É um aparelho mais eficiente e mais silencioso que o "motorzinho", tornando o atendimento mais rápido e agradável.
Além disso esse é o equipamento número 1 quando pensamos em melhorar a técnica de preparo dos dentes para receberem facetas e lentes.
Um investimento que se traduz em padrão de excelência e conforto para o paciente.
08/10/2025
Serviços e preços
Primeira consulta Odontológica
R$ 200
Consulta Dentista
Restauração em resina
Moldagem e clareamento caseiro
Profilaxia dental (limpeza)
Protocolo de 4; 5 ou 6 implantes de porcelana
Prótese sobre implantes
Raspagem periodontal
Reabertura de implante dentário
Restauração dental
Consulta Odontológica
Moldagem de implante
Tratamento das doenças gengivais
Tratamento de Dentes Escurecidos
Tratamento de gengivite
Tratamento do mau hálito
Tratamento estético odontológico
Tratamento para sangramento gengival
Tratamento periodontal
Sedação para Implante Dentário
Implantes dentários
Manutenção periodontal
Coroa de e-max - tampa dentária
Teleconsulta
Aumento de coroa clínica
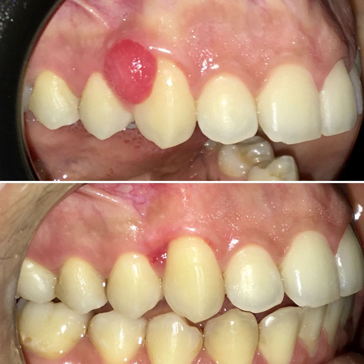
Cirurgia de enxerto gengival
Cirurgia Plástica Estética Periodontal (Gengiva)
Clareamento dental
Consulta próteses estéticas e em porcelana
Coroa de porcelana
Gengivoplastia
Coroas provisórias
Enxertos gengivais
Enxertos ósseos
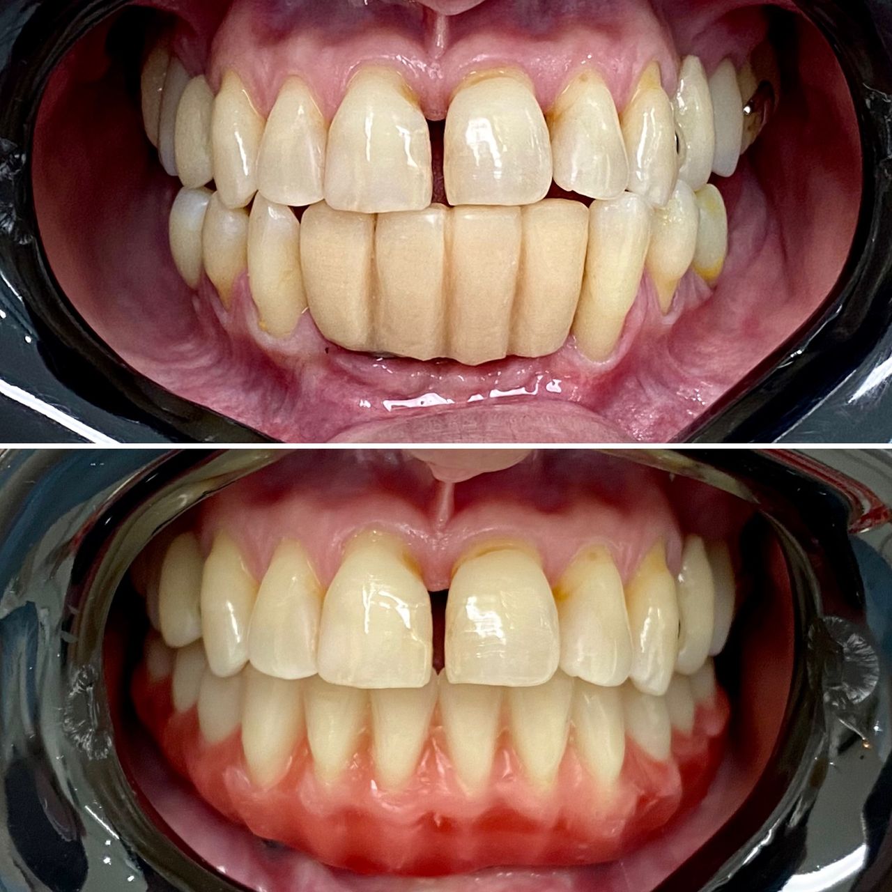
Facetas de porcelana
Facetas dentárias
Facetas em cerâmica
Facetas em resina
Troca de Restauração de Amálgama por Resina
As informações sobre preços são de responsabilidade do especialista ou centro. A Doctoralia não tem qualquer influência e não é responsável por definir os preços exibidos.
Os preços são para pacientes sem convênio médico
Artigos
Perda De Dente
A perda de um único dente já faz bastante falta, imagina a perda de vários dentes! Prejudica todo o sistema de oclusão, posição dos dentes, mastigação, fala, suporte dos lábios e estética. Existem diferentes tipos de prótese, e a melhor é a realização de implantes e suas respectivas próteses sobre implantes. O implante pode ser instalado na boca no mesmo momento da extração do dente, ou posteriormente à extração. Nos casos de perda dos dentes há muitos anos também realizamos o tratamento com implantes, mas precisa ser avaliada a necessidade de se fazer um enxerto ósseo antes desses implantes. Tudo isso realizamos no consultório.
Cárie dentária
A cárie dentária é comumente tratada com restaurações em resina composta. Tenho pós-graduação nessa área. O tratamento é rápido e indolor.
Casos de cáries mais profundas que já afetaram o canal do dente, são tratados por um Endodontista. Tudo com conforto e no mesmo endereço.
Sensibilidade dentária
Existem diferentes tipos de tratamento para sensibilidade dentária: a aplicação de produtos concentrados específicos, feita no consultório, em 5 sessões, totalmente indolor, é o tratamento mais utilizado. Precisa ser realizada uma avaliação clínica antes para verificar a causa da sensibilidade e definir o melhor tratamento.
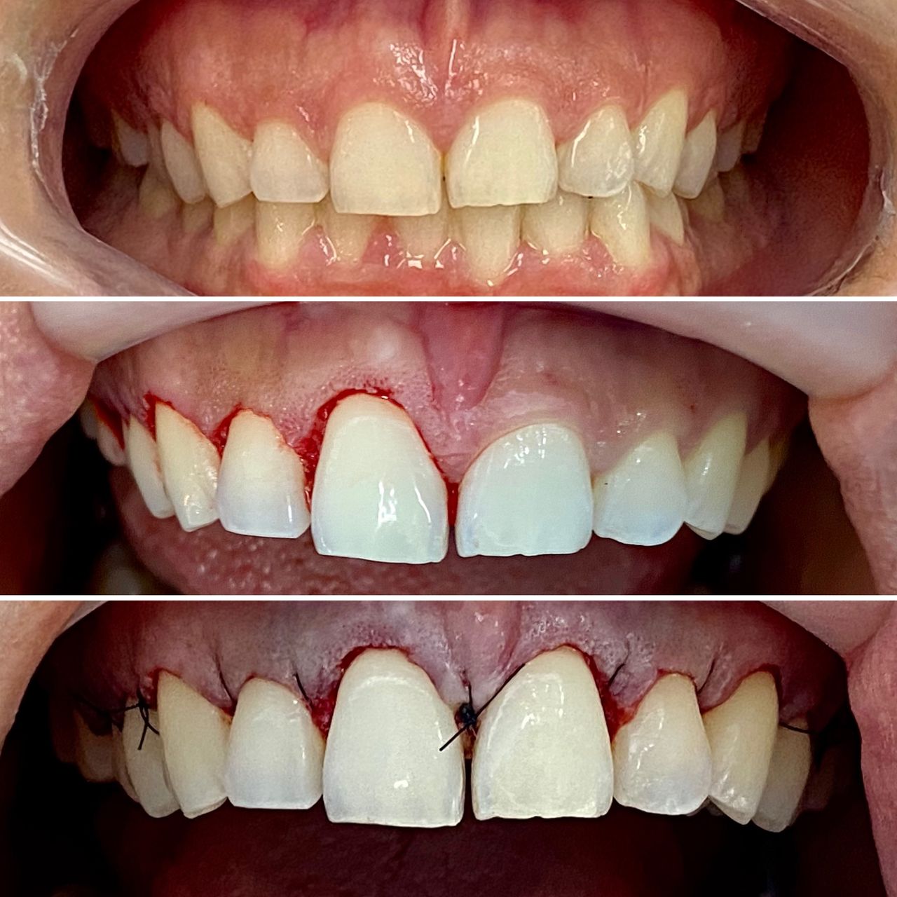
Gengivoplastia
A Cirurgia de correção de sorriso gengival é um tipo de Cirurgia Plástica Periodontal, nas quais sou Especialista. Bastante requerida antes da realização de facetas ou lentes de contato dentais, para aumentar o tamanho dos dentes, melhorando assim a harmonia do sorriso e sua estética facial. São necessárias radiografias, e uma consulta prévia para fotografias e avaliação do sorriso. Após a cirurgia a cicatrização é rápida, e necessário um repouso de 3 dias.
Mau hálito
O mau hálito ou halitose é um problema bastante comum, e, em 90% dos casos, a origem está na boca. Sendo assim, o Dentista é o profissional que trata, removendo os fatores causais. O Periodontista é o especialista indicado para o tratamento, que envolve mudanças de hábitos e remoção de placa bacteriana.
Clareamento dental
Sou especializada em Clareamento Dental e nessa área há muitas novidades. Realizamos 3 tipos de clareamento diferentes, cada um para um tipo de paciente. O tratamento é muito eficaz, não causa sensibilidade e pode ser realizado por qualquer pessoa acima dos 16 anos, exceto gestantes.
Marque a sua consulta agora mesmo, sem ligar, é só escolher uma data disponível no meu calendário. Após a reserva, você receberá mensagens de confirmação e lembrete.
Marque a sua consulta agora mesmo, sem ligar, é só escolher uma data disponível no meu calendário. Após a reserva, você receberá mensagens de confirmação e lembrete.
As teleconsultas ou consultas on-line são realizadas pelo google meet.
Enviamos o link antes da reunião.
Como se preparar para a consulta online
Prepare-se 10 minutos antes da consulta e verifique se o seu smartphone ou notebook está com a bateria carregada.
Para uma videochamada, verifique se tudo funciona: conexão com a internet, câmera e microfone.
Prepare também a documentação médica (como resultado de um exame) caso precise mostrar na consulta.
Modalidades de pagamento (visitas privadas)
Cartão de Débito
Cartão de Crédito
PIX
Detalhes de pagamento
Os dados para pagamento serão enviados antes da consulta, e o comprovante de pagamento deve ser enviado para nosso whatsapp também antes de iniciar a consulta.
O pagamento para a consulta vai diretamente para o especialista, que também é responsável por determinar sua própria política de cancelamento e reembolso.
Em caso de qualquer problema com pagamento, contate o especialista.
Lembre-se de que a Doctoralia não cobra taxas adicionais pela marcação de uma consulta e não processa os pagamentos em nome do especialista.
Este especialista só aceita pacientes particulares. Você pode pagar particular para marcar, ou encontrar outro especialista que aceite o seu plano de saúde.
Todas as opiniões são importantes, por isso os especialistas não podem pagar para alterar ou excluir uma opinião.
Saiba mais.Saber mais sobre pareceres
H
Herlia
Tipos de verificação
Verificamos a autenticidade de todas as avaliações para garantir que elas provêm de pacientes que realmente visitaram o especialista ou a clínica. Para isso, introduzimos 3 níveis adicionais de verificação além dos nossos checagens padrão:
Opinião Verificada
Pacientes que verificaram seu número de telefone por um código.
Consulta verificada
Pacientes que tiveram agendamento pela plataforma doctoralia e confirmaram seu número de telefone via código.
Pagamento e consulta verificados
Pacientes que tiveram agendamento pela plataforma e realizaram o pagamento via Doctoralia. O número de telefone do paciente foi confirmado por código. A confiabilidade dessas avaliações é particularmente alta.
Excelente profissional!! Atenciosa e carinhosa. Adorei
•
Prime Odontologia • Consulta Odontológica
•
J
José gaspar
Tipos de verificação
Verificamos a autenticidade de todas as avaliações para garantir que elas provêm de pacientes que realmente visitaram o especialista ou a clínica. Para isso, introduzimos 3 níveis adicionais de verificação além dos nossos checagens padrão:
Opinião Verificada
Pacientes que verificaram seu número de telefone por um código.
Consulta verificada
Pacientes que tiveram agendamento pela plataforma doctoralia e confirmaram seu número de telefone via código.
Pagamento e consulta verificados
Pacientes que tiveram agendamento pela plataforma e realizaram o pagamento via Doctoralia. O número de telefone do paciente foi confirmado por código. A confiabilidade dessas avaliações é particularmente alta.
Excelente profissional, muito competente, indico de olhos fechado!
•
Prime Odontologia • Cirurgia de enxerto gengival
•
J
Jeisiane
Tipos de verificação
Verificamos a autenticidade de todas as avaliações para garantir que elas provêm de pacientes que realmente visitaram o especialista ou a clínica. Para isso, introduzimos 3 níveis adicionais de verificação além dos nossos checagens padrão:
Opinião Verificada
Pacientes que verificaram seu número de telefone por um código.
Consulta verificada
Pacientes que tiveram agendamento pela plataforma doctoralia e confirmaram seu número de telefone via código.
Pagamento e consulta verificados
Pacientes que tiveram agendamento pela plataforma e realizaram o pagamento via Doctoralia. O número de telefone do paciente foi confirmado por código. A confiabilidade dessas avaliações é particularmente alta.
Eu amei o atendimento,e ansiosa pelo tratamento dos meus dentes , muito atenciosa
•
Prime Odontologia • Tratamento periodontal
•
Z
Zilda Souza
Tipos de verificação
Verificamos a autenticidade de todas as avaliações para garantir que elas provêm de pacientes que realmente visitaram o especialista ou a clínica. Para isso, introduzimos 3 níveis adicionais de verificação além dos nossos checagens padrão:
Opinião Verificada
Pacientes que verificaram seu número de telefone por um código.
Consulta verificada
Pacientes que tiveram agendamento pela plataforma doctoralia e confirmaram seu número de telefone via código.
Pagamento e consulta verificados
Pacientes que tiveram agendamento pela plataforma e realizaram o pagamento via Doctoralia. O número de telefone do paciente foi confirmado por código. A confiabilidade dessas avaliações é particularmente alta.
Ótimo atendimento, esclarece as dúvidas a respeito!
•
Prime Odontologia • Primeira consulta Odontológica
•
M
Maria Lucilene Mourão Valério Campos
Tipos de verificação
Verificamos a autenticidade de todas as avaliações para garantir que elas provêm de pacientes que realmente visitaram o especialista ou a clínica. Para isso, introduzimos 3 níveis adicionais de verificação além dos nossos checagens padrão:
Opinião Verificada
Pacientes que verificaram seu número de telefone por um código.
Consulta verificada
Pacientes que tiveram agendamento pela plataforma doctoralia e confirmaram seu número de telefone via código.
Pagamento e consulta verificados
Pacientes que tiveram agendamento pela plataforma e realizaram o pagamento via Doctoralia. O número de telefone do paciente foi confirmado por código. A confiabilidade dessas avaliações é particularmente alta.
Uma excelente profissional explica tudo com muito detalhe e paciência isso faz toda diferença
•
Prime Odontologia • Consulta Odontológica
•
R
Raildes
Tipos de verificação
Verificamos a autenticidade de todas as avaliações para garantir que elas provêm de pacientes que realmente visitaram o especialista ou a clínica. Para isso, introduzimos 3 níveis adicionais de verificação além dos nossos checagens padrão:
Opinião Verificada
Pacientes que verificaram seu número de telefone por um código.
Consulta verificada
Pacientes que tiveram agendamento pela plataforma doctoralia e confirmaram seu número de telefone via código.
Pagamento e consulta verificados
Pacientes que tiveram agendamento pela plataforma e realizaram o pagamento via Doctoralia. O número de telefone do paciente foi confirmado por código. A confiabilidade dessas avaliações é particularmente alta.
Me senti muito bem, sendo atendida pela dra. Amei o atendimento dela.
•
Prime Odontologia • Consulta Odontológica
•
J
Jussara Bonifácio
Tipos de verificação
Verificamos a autenticidade de todas as avaliações para garantir que elas provêm de pacientes que realmente visitaram o especialista ou a clínica. Para isso, introduzimos 3 níveis adicionais de verificação além dos nossos checagens padrão:
Opinião Verificada
Pacientes que verificaram seu número de telefone por um código.
Consulta verificada
Pacientes que tiveram agendamento pela plataforma doctoralia e confirmaram seu número de telefone via código.
Pagamento e consulta verificados
Pacientes que tiveram agendamento pela plataforma e realizaram o pagamento via Doctoralia. O número de telefone do paciente foi confirmado por código. A confiabilidade dessas avaliações é particularmente alta.
Muito cuidadosa , no meu caso como tenho muito medo , me deixou muito tranquila e confiante, excelente profissional tanto ela quanto sua assistente !! Super indico
•
Prime Odontologia • Manutenção periodontal
•
Dra. Juliana Paula Martins
Dona Jussara, nós ficamos felizes em saber que a senhora se sentiu bem e está indo adiante no seu tratamento. Isso nos dá motivação pra continuar trabalhando dessa forma. Muito obrigada!
J
Jhennifer Fernanda
Tipos de verificação
Verificamos a autenticidade de todas as avaliações para garantir que elas provêm de pacientes que realmente visitaram o especialista ou a clínica. Para isso, introduzimos 3 níveis adicionais de verificação além dos nossos checagens padrão:
Opinião Verificada
Pacientes que verificaram seu número de telefone por um código.
Consulta verificada
Pacientes que tiveram agendamento pela plataforma doctoralia e confirmaram seu número de telefone via código.
Pagamento e consulta verificados
Pacientes que tiveram agendamento pela plataforma e realizaram o pagamento via Doctoralia. O número de telefone do paciente foi confirmado por código. A confiabilidade dessas avaliações é particularmente alta.
Foi tudo muito bom, nada a reclamar. .
•
Prime Odontologia • Enxertos gengivais
•
Dra. Juliana Paula Martins
Jhennifer, agradeço sua opinião e te espero em breve. Um abraço!
S
Sandra Suelly
Tipos de verificação
Verificamos a autenticidade de todas as avaliações para garantir que elas provêm de pacientes que realmente visitaram o especialista ou a clínica. Para isso, introduzimos 3 níveis adicionais de verificação além dos nossos checagens padrão:
Opinião Verificada
Pacientes que verificaram seu número de telefone por um código.
Consulta verificada
Pacientes que tiveram agendamento pela plataforma doctoralia e confirmaram seu número de telefone via código.
Pagamento e consulta verificados
Pacientes que tiveram agendamento pela plataforma e realizaram o pagamento via Doctoralia. O número de telefone do paciente foi confirmado por código. A confiabilidade dessas avaliações é particularmente alta.
A Dra expressa muito conhecimento em sua especialidade, acompanhado de muita gentileza,atenção e pontualidade!!
•
Prime Odontologia • Primeira consulta Odontológica
•
Dra. Juliana Paula Martins
Olá, Sandra! Agradeço e fico muito feliz com sua opinião. Conte comigo!
H
Heliane Pridente
Tipos de verificação
Verificamos a autenticidade de todas as avaliações para garantir que elas provêm de pacientes que realmente visitaram o especialista ou a clínica. Para isso, introduzimos 3 níveis adicionais de verificação além dos nossos checagens padrão:
Opinião Verificada
Pacientes que verificaram seu número de telefone por um código.
Consulta verificada
Pacientes que tiveram agendamento pela plataforma doctoralia e confirmaram seu número de telefone via código.
Pagamento e consulta verificados
Pacientes que tiveram agendamento pela plataforma e realizaram o pagamento via Doctoralia. O número de telefone do paciente foi confirmado por código. A confiabilidade dessas avaliações é particularmente alta.
Profissional muito competente e atenciosa. Destaque na limpeza do consultório.
•
Prime Odontologia • Profilaxia dental (limpeza)
•
Dra. Juliana Paula Martins
Agradeço muito pelas suas palavras, D. Heliane! É um prazer cuidar da senhora! Um abraço.
Ocorreu um erro, tente outra vez
Dúvidas respondidas
125 dúvidas de pacientes respondidas na Doctoralia
Extraí meu dente sexta passada. Hoje é quinta e a dor está insuportável, parece que tirei hoje. A dra disse que por eu já ter feito canal a extração iria ser difícil porque a raiz do dente incorpora no osso. Ela teve que colocar pó de osso por cima depois da extração e depois costurou. Estou tomando antibiótico, anti-inflamatório, remédio pra dor e bochecho com periotrat, mas nada melhora. Ela disse que é normal. Mas tô preocupada. Está saindo um líquido com gosto horrível parece um fel.
Olá. Imagino a sua angústia diante dessa situação. A dentista examinou você? Pois nesse caso, é recomendável que você seja cuidadosamente examinado, avaliado o local da cirurgia. Não é comum esse aumento da dor, depois de passados quase 7 dias da cirurgia. Desejo melhoras.
Todos os conteúdos publicados no doctoralia.com.br, principalmente perguntas e respostas na área da medicina, têm caráter meramente informativo e não devem ser, em nenhuma circunstância, considerados como substitutos de aconselhamento médico.
No momento você está usando uma conta diferente. Saia para continuar.
Juliana Paula Martins é dentista. Te mostramos alguns dos serviços oferecidos pelo especialista graças à sua trajetória e vasta experiência: Consulta Odontológica, Clareamento dental, Restauração dental, Profilaxia dental (limpeza), Implantes dentários, Tratamento periodontal, Facetas de porcelana, Facetas em resina, Gengivoplastia, Enxertos gengivais.
Sim, Juliana Paula Martins oferece atendimento online. Basta selecionar "Teleconsulta" ao agendar sua consulta e você poderá ver as datas e horários disponíveis.
O calendário que Juliana Paula Martins exibe em seu perfil na Doctoralia é atualizado em tempo real. Tudo o que precisa é escolher o dia e a hora que forem mais convenientes para você. O agendamento é gratuito e você também recebe um lembrete antes da consulta.
Juliana Paula Martins costuma ter horários disponíveis dentro da mesma semana ou para a semana seguinte. Verifique o calendário: você verá o primeiro horário disponível, atualizado em tempo real. Caso o horário sugerido não funcione para você, verifique outras datas. Agendar uma consulta é sempre imediato e gratuito.
Juliana Paula Martins não aceita convênios, apenas pacientes particulares. Recomendamos que caso tenha alguma dúvida, entre em contato com o especialista.
Os preços de alguns serviços podem variar dependendo de cada caso. Depois de fazer uma reserva, você pode perguntar o preço de um serviço específico, enviando uma mensagem privada. Reserve agora a data que melhor se adapte às suas necessidades.
Os preços de alguns serviços podem variar dependendo de cada caso. Depois de fazer uma reserva, você pode perguntar o preço de um serviço específico, enviando uma mensagem privada. Reserve agora a data que melhor se adapte às suas necessidades.
Seu especialista pede que você efetue o pagamento da consulta. Para reagendar, você pode pagar antecipadamente ou entrar em contato diretamente com seu especialista.