Dra.
Camila Rychuv Santos
Dentista
·
Mais
Curitiba 1 endereço
Número de registro: PR-CD-21734
333 opiniõesExperiência
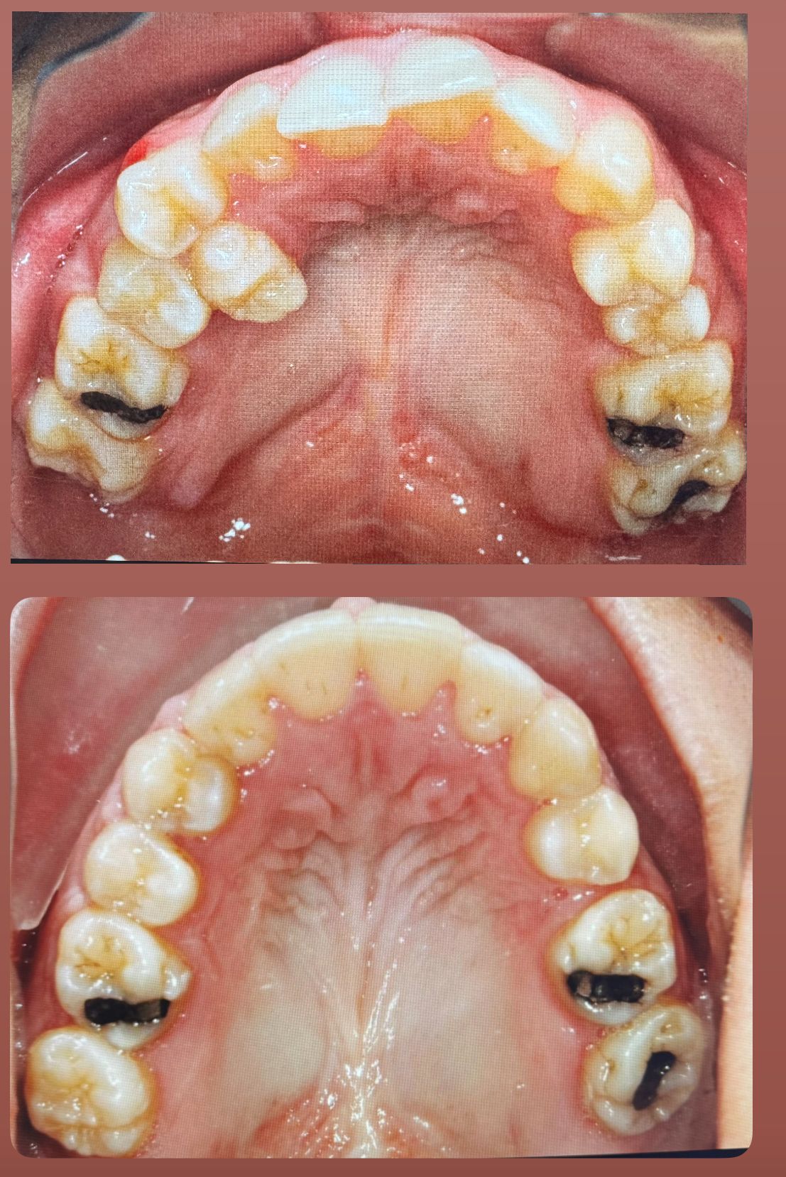
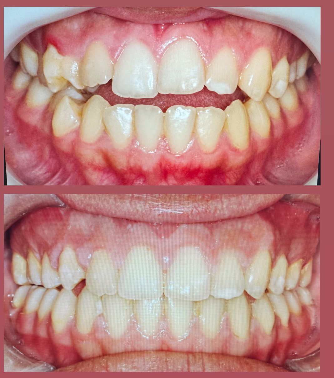
Venha pra Ortodontia AUTO-LIGADA, resultados espetaculares em dois meses.
Ou trate com a melhor tecnologia mundial com INVISALIGN.
Alinhadores estéticos, confortáveis e higiênicos.
Mestre em Ortodontia e Professora do curso de especialização.
Aparelho estético, auto-ligado e alinhadores.
Invisalign Doctor
Clareamentos.
Especialista em Odontologia Hospitalar.
Cada caso é único e individualizado!!
Experiência em:
- Ortodontia
- Ortodontia estetica
- Odontologia geral
- Clareamento dental
Principais doenças tratadas
- Dentes tortos
- Disfunção da ATM
- Dente Impactado
- Ranger de dentes
- Bruxismo
- +3 a11y_sr_more_diseases
Pacientes que trato
Fotos e vídeos
Serviços e preços
-
Aparelho do Sono
-
-
Aparelho Estético Invisível
-
-
Aparelho Fixo
-
-
Aparelho ortodôntico
-
-
Aparelhos autoligados
-
-
-
-
-
-
-
Consultórios (2)
Avenida Presidente Getulio Vargas, 2932 / Cj 506, Água Verde, Curitiba 80240-040
Disponibilidade
Número de telefone
Disponibilidade
Planos de saúde aceitos
Os planos de saúde são aceitos, mas a cobertura varia de acordo com o local e o serviço. Confirme durante a etapa de agendamento!
-
Sul América Saúde
-
Amil
-
Odontoprev
-
Metlife
-
Prevident
Opiniões
333 opiniões
-
D
DK
Fui pelo plano Amil e especifiquei para a secretaria o que eu precisava , mas chegando lá falaram que só tinha a limpeza liberada no plano e ofereceram tratamentos a parte como não aceitei … só fizeram a limpeza e mau olhou o dente que precisava de atenção.
• Dental Up Odontologia • Consulta Dentista •
-
M
Mayra
Talvez se eu tivesse pago os 200,00 reais do exame qual meu plano nao cobria ela fosse mais eficaz ou melhor fizesse o serviço.
• Dental Up Odontologia • Consulta Dentista •
-
N
Nicholas Matheus Feliciano
Foi.tudo incrivel, resultado perfeito, dra deixa o clima leve e explica tudo.
• Dental Up Odontologia • Escaneamento digital - itero element •
-
C
Cristiane Franco
Atendimento maravilhoso, super cuidadosa e tratamento de excelência.
• Dental Up Odontologia • Aparelho ortodôntico •
-
B
Bruna
Dra. atenciosa, explicou bem sobre o que seria necessário no tratamento.
• Dental Up Odontologia • Consulta Dentista •
-
J
João Paulo Januário
Gostei do atendimento, da cordialidade e acredito que terei pela frente um confiável e agradável tratamento odontológico nos próximos meses.
• Dental Up Odontologia • Consulta Dentista •
-
R
RF
Profissional muito competente e atenciosa.
Eu recomendo.• Dental Up Odontologia • Consulta Dentista •
-
H
Henry Sato
Ja chega na clinica com limpeza marcada sendo que não havia solicitação nenhuma, dentista nem um pouco pontual, muito focada em vender e pouco interessada em atender de fato as necessidades do paciente com base no seu planejamento informado anteriormente. Imagino que deva melhorar sua abordagem.
• Dental Up Odontologia • Consulta Dentista •
-
J
Juan Santos
A Dra foi muito atenciosa no atendimento. Me deu algumas dicas e com certeza retornarei a fazer consulta com ela. Parabéns
• Dental Up Odontologia • Consulta Dentista •
-
J
Jacqueline Almeida
Tem um trato absurdo com crianças, a minh filha tem apenas 3 anos e foi super tranquila a limpeza , amamos
• Dental Up Odontologia • Consulta Dentista •
Dúvidas respondidas
25 dúvidas de pacientes respondidas na Doctoralia
Posso ficar uma semana sem fazer manutenção do aparelho sem que os dente voltam pra frente?
Prezado paciente, como a força que está sendo aplicada nos seus dentes são contínuas é importante sempre ter o acompanhamento que seu Ortodontista solicitou para que não ocorram movimentos indesejados, como o dente acabar indo pra frente e atrasando seu resultado.
Por várias vezes percebi que quando estou comendo algo muito duro ou mastigando demais, a lateral da minha mandíbula (ambos os lados) ficam dormentes. Se eu paro de comer, parece que vai "relaxando" e passa, mas se voltar, fica dormente novamente. O que pode ser? Qual especialista devo procurar?
Olá!! Você pode estar sobrecarregando a sua musculatura da boca que está ficando sobrecarregada. Seria bom verificar outros hábitos que vc possa ter se tem algum horário que mais dói. Um xame para checar os contatos dos seus dentes seriam úteis também. Sugiro um Ortodontista ou especialista em Oclusão, DTM.
Todos os conteúdos publicados no doctoralia.com.br, principalmente perguntas e respostas na área da medicina, têm caráter meramente informativo e não devem ser, em nenhuma circunstância, considerados como substitutos de aconselhamento médico.
Perguntas frequentes
-
Quais são as principais especialidades de Camila Rychuv Santos?Camila Rychuv Santos é dentista. Te mostramos alguns dos serviços oferecidos pelo especialista graças à sua trajetória e vasta experiência: Consulta Dentista, Aparelho ortodôntico, Invisalign, Aparelho Estético Invisível, Aparelho Fixo, Aparelhos autoligados, Aparelho do Sono, Clareamento a laser, Escaneamento digital - itero element, Primeira consulta ortodontia.
-
Onde fica o consultório de Camila Rychuv Santos?Camila Rychuv Santos atende em:
- Avenida Presidente Getulio Vargas, 2932 / Cj 506 Curitiba
-
Posso passar por atendimento online com Camila Rychuv Santos, sem ter que ir até o consultório?Sim, Camila Rychuv Santos oferece atendimento online. Basta selecionar "Teleconsulta" ao agendar sua consulta e você poderá ver as datas e horários disponíveis.
-
Quais métodos de pagamento são aceitos por Camila Rychuv Santos?Camila Rychuv Santos aceita os seguintes métodos de pagamento: Dinheiro, Cartão de Crédito, Cartão de Débito, PIX.
-
Em quais idiomas Camila Rychuv Santos atende?Camila Rychuv Santos atende em Inglês, Português.
-
Como posso marcar uma consulta com Camila Rychuv Santos?O calendário que Camila Rychuv Santos exibe em seu perfil na Doctoralia é atualizado em tempo real. Tudo o que precisa é escolher o dia e a hora que forem mais convenientes para você. O agendamento é gratuito e você também recebe um lembrete antes da consulta.
-
Quando poderia me consultar com Camila Rychuv Santos?Camila Rychuv Santos costuma ter horários disponíveis dentro da mesma semana ou para a semana seguinte. Verifique o calendário: você verá o primeiro horário disponível, atualizado em tempo real. Caso o horário sugerido não funcione para você, verifique outras datas. Agendar uma consulta é sempre imediato e gratuito.
-
O que outros pacientes opinam sobre Camila Rychuv Santos?Um total de 333 pacientes já deixou uma opinião honesta e real sobre Camila Rychuv Santos, que tem uma avaliação média de 4.5 estrelas (de 5).
-
Quais são os convênios aceitos por Camila Rychuv Santos?Estes são alguns dos convênios aceitos por Camila Rychuv Santos: Amil, Sul América Saúde, Odontoprev, Metlife, Prevident, Clinipam, Bradesco Dental, Santander odonto. Verifique a lista completa de convênios aceitos.