Dr. Rodolfo de Moura Carneiro

Neurocirurgião · Mais

São Paulo 3 endereços

Número de registro: CRM SP 141661 RQE 50652

492 opiniões
Tempo estimado de resposta:
Logo
Dr. Rodolfo de Moura Carneiro

Médicos especialistas e atendimento humanizado.


Atendimento pelos convênios com sistema de Livre Escolha.
Alguns convênios são atendidos por este sistema pela equipe do Dr. Rodolfo de Moura Carneiro.
Entre em contato para saber mais e tirar suas dúvidas por telefone ou WhatsApp

08/06/2022

Experiência

Dr. Rodolfo Carneiro é um renomado neurocirurgião e especialista em coluna, atuando na Clínica Coluna e Neuro, no bairro do Paraíso, em São Paulo, Brasil. Registrado sob o CRM-SP 141.661 e o RQE 50.652, Dr. Carneiro vê a medicina não somente como um ofício técnico, mas como uma profissão que requer compreensão profunda da condição humana. Seu foco está em tratar o indivíduo, não apenas a doença.

A Clínica Coluna e Neuro é especializada em tratar traumas e patologias relacionadas à coluna vertebral, além de neurocirurgia. Dentre os procedimentos realizados, destacam-se as cirurgias minimamente invasivas, como a cirurgia endoscópica da coluna, eficaz no tratamento de hérnias discais. Essa técnica permite a descompressão dos nervos espinhais e a remoção do material discal de forma segura, minimizando o trauma cirúrgico.

Os neurocirurgiões da clínica são especializados em tratar doenças que afetam o cérebro, a medula espinhal e os nervos, realizando procedimentos complexos como cirurgias de crânio, tumores na coluna ou cérebro, e tratamento de estenose do canal ou compressão nervosa. Além disso, a equipe é altamente qualificada no manejo da dor, proporcionando alívio para pacientes que sofrem de dor crônica e incapacitante.

O Dr. Carneiro leciona há 7 anos a técnica endoscópica da coluna vertebral, demonstrando sua competência e experiência na área. A clínica conta com uma equipe de neurocirurgiões e ortopedistas especialistas em coluna vertebral, dedicados a oferecer um atendimento médico humanizado e de alta qualidade. Os profissionais estão em constante atualização para proporcionar o melhor tratamento disponível, utilizando métodos convencionais e cirurgias videoassistidas.

A Clínica Coluna e Neuro oferece serviços de telemedicina, permitindo que pacientes de todas as localidades tenham acesso a atendimento de excelência. Consultas e análises de exames são realizadas por vídeo através do Google Meet, com todos os dados registrados no prontuário do paciente e prescrições digitais e solicitações de exames emitidas conforme necessário.

Testemunhos de pacientes realçam o alto nível de atendimento oferecido por Dr. Carneiro e sua equipe, destacando a atenção, a clareza na comunicação e as práticas éticas. Pacientes operados relataram melhoras significativas em suas condições, reafirmando a confiança na equipe do Dr. Carneiro.
Exemplos de doenças tratadas pelo neurocirurgião especialista em coluna:
- traumatismos na coluna
- tumores da coluna
- dor na coluna lombar, coluna cervical, coluna torácica
- deformações congênitas da coluna
- tratamentos de doenças da coluna
- hérnia de disco na coluna lombar, cervical e dorsal
- estenose na coluna
- degenerações discais
- listese vertebral, escolioses, fraturas por osteoporose
- síndrome facetária na coluna cervical, lombar e torácica
- protrusão Discal,  compressão radicular e próteses na coluna.


Até breve!
mais Sobre mim

Experiência em:

  • Cirurgia da coluna lombar
  • Cirurgia da coluna cervical
  • Cirurgia da coluna vertebral
  • Cirurgia endoscópica da coluna

Pacientes que trato

Adultos

Formatos de consulta

Presencial Ver locais (3)
Consulta por vídeo

Fotos e vídeos

Planos de saúde aceitos

Os planos de saúde são aceitos, mas a cobertura varia de acordo com o local e o serviço. Confirme durante a etapa de agendamento!

  • Bradesco Saúde
  • Sul América Saúde
  • Amil
  • Allianz
  • Lincx
+6 mais

Consultórios (4)

Ampliar o mapa abre num novo separador
Clínica Coluna E Neuro

Rua Sampaio Viana, 253, conj 114, 11º Andar, Paraíso, São Paulo 04004-000

Disponibilidade

Número de telefone

(11) 97327...
(11) 97327...
Ampliar o mapa abre num novo separador
Ampliar o mapa abre num novo separador
Dr. Rodolfo Carneiro - Neurocirurgião Especialista em Coluna Alphaville

Alameda grajau 98, Alphaville Industrial, Barueri 06454-050

Disponibilidade

Número de telefone

(11) 97327...
Ampliar o mapa abre num novo separador

Disponibilidade

Número de telefone

(11) 97327...
(11) 97327...
Ampliar o mapa abre num novo separador
COLUNA E NEURO

Paraíso

Disponibilidade

Número de telefone

(11) 97327...
Ampliar o mapa abre num novo separador

Serviços e preços

  • Consulta neurocirurgia


  • Punção lombar


  • Doenças da coluna vertebral


  • Foraminotomia cervical tubular minimamente invasiva


  • Implante De Estimulador Medular


Artigos

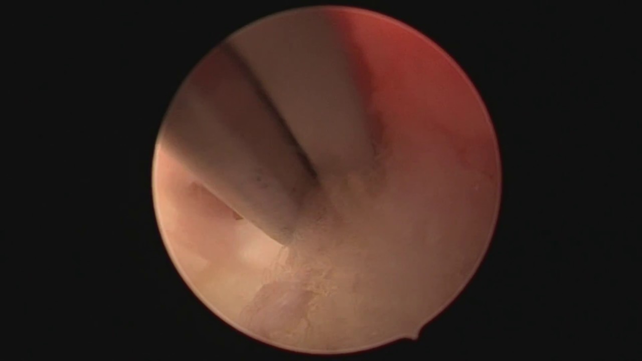
Cirurgia endoscópica da coluna vertebral

• Tratamento por Endoscopia Hérnia de disco O paciente vai ao hospital 1h antes do procedimento Duração 30-40min Feito sob sedação, anestesia local e sem necessidade de anestesia geral Introduzimos uma fina câmera pela qual passam pequenas pinças. Com imagens de altíssima qualidade podemos remover a hérnia de disco e deixar os nervos livre da compressão Devido à via de acesso especial, o paciente tem sua dor tratada Sem agressão aos músculos, Sem retirada de ossos ou articulações da coluna e Sem a colocação de pinos ou próteses Incisão de 7mm e apenas 01 pontos para o fechamento da pele 2 horas após o procedimento, liberado para casa Andando normalmente Retorno ao trabalho após 48h


Ciática

Dor do ciático, dor ciática, ciatico inflamado, ciatalgia... Causar: protrusão do disco, hérnia extrusa ou extrusão, bico de papagaio, estenose de canal lombar, hipertrofia articulações zigoapofisarias ou facetarias, tumor raquimedular, hipertrofia ligamentar, hipertrofia do ligamento amarelo. Sintomas: fraqueza na perna, perna pesada, perna dormente, formigando / formigamento, fraqueza do pé, formigamento no pé, lombalgia, dor nas costas, dor lombar, claudicação, dor nas costas, queimação Tratamento: infiltração da coluna, cirugia minimamente invasiva com laser, endoscopia de coluna, descompressão medular, descompressão da cauda equina.


Cirurgia minimamente invasiva da coluna vertebral

• Vantagens do tratamento minimanente invasivo da coluna • Internação hospitalar 1h antes do procedimento • Curta duração dos procedimentos • Feito sob sedação, anestesia local e sem necessidade de anestesia geral na maioria dos casos • Mínima agressão aos músculos, ossos ou articulações da coluna • Pequenas incisões e mínima perda sanguínea • Procura-se tratar diretamente o ponto onde o paciente tem dor com mínima agressão aos tecidos que não estão envolvidos com a causa da dor • Menor dor pós-operatória • Rápido retorno ao trabalho.


Hérnia de disco

Laser para hérnia de disco Técnica minimamente invasiva Doenças tratadas: dor discogênica e dor ciática Feito com sedação e anestesia local, sem necessidade de anestesia geral Procedimento: Feito através de uma agulha (sem corte na pele) na qual uma fina fibra de Laser e vai até o centro do disco. Uma parte do núcleo pulposo é vaporizada levando a um encolhimento do disco intervertebral e consequente Descompressão dos nervos. Também Cauteriza terminações nervosas que provocariam lombalgia, aliviando assim a dor lombar A alta 2h após o procedimento Atenção: Hérnia extrusa ou migrada a Endoscopia de Coluna (Vídeo) seria a melhor opção, com a remoção da hérnia por visualização direta

Veja todos os artigos

492 opiniões

Todas as opiniões são importantes, por isso os especialistas não podem pagar para alterar ou excluir uma opinião. Saiba mais. Saber mais sobre pareceres
  • M

    Estive em segunda consulta com o colega - desta vez na modalidade de teleconsulta. Tudo perfeito: atendimento atencioso e rápido da secretária pelo WhatsApp, clareza das informações, pontualidade na consulta, avaliação dos exames previamente enviados pelo app (discutidos através do compartilhamento de tela) e clareza nas informações clínicas, nas opções terapêuticas e nas recomendações para o seguimento futuro. Profissional altamente recomendado. Muito obrigado.

     • Dr. Rodolfo Carneiro - Neurocirurgião Especialista em Coluna Alphaville Outro  • 

  • A

    Pena que não posso dar 1000 estrelas. Com toda certeza o Dr. Rodolfo mereceria. Nos meus 60 anos de idade nunca em minha vida estive com um médico tão profissional e humano como ele. Estou tratando de hérnia cervical, fiz uma infiltração com ele no Hospital São Luiz, e estou me sentindo muito melhor.
    Quer fazer uma consulta com um médico de verdade? Achou. Dr. Rodolfo e equipe sempre prestativa com certeza lhe ajudar a ter qualidade de vida. Boa recuperação à todos!

     • Clínica Coluna E Neuro Bloqueio na coluna  • 

  • M

    Excelente dr é atendimento de todos do consultório , nota 1000 a essa equipe

     • COLUNA E NEURO Outro  • 

  • F

    O Dr. Rodolfo Carneiro é um neurocirurgião excepcional, com atendimento humanizado e empático. Ouve o paciente com atenção, explica cada etapa do tratamento e, sempre que possível, busca alternativas conservadoras antes de indicar a cirurgia, sempre priorizando a qualidade de vida do paciente. Fiz uma cirurgia de hérnia de disco com ele e tudo correu perfeitamente bem. No pós-operatório, o cuidado e a atenção permaneceram os mesmos. Agradeço também ao anestesista Dr. Lucas, pela atenção e profissionalismo, e a toda a equipe médica e da clínica, que foram sempre muito acolhedores e competentes.

     • Clínica Coluna E Neuro Cirurgia de hernia de disco  • 

  • E

    Gostaria de expressar minha mais profunda gratidão ao Dr Rodolfo Moura
    Carneiro/ Neuro Cirurgião por todo cuidado e atenção que recebi durante o procedimento recente que passei. Competência, profissionalismo e dedicação foram fundamentais para minha total recuperação.
    A equipe sempre tão atenciosa e dispostos a ajudar me tranquilizaram dando a certeza que tudo daria certo.
    Gostaria tbm de agradecer ao anestesista Dr Lucas Abreu pela total confiança que me passou com suas explicações

     • Clínica Coluna E Neuro Infiltração da coluna  • 

  • E

    Dr Rodolfo e equipe muito profissionais e atenciosos e competentes,
    Tratamento e cirurgia perfeitos. Parabenizo a todos.
    Muito grato

     • Clínica Coluna E Neuro Cirurgia da coluna  • 

  • P

    Excelente profissional!!
    Muito atencioso e esclarecimentos perfeitos.

     • Clínica Coluna E Neuro Consulta Neurocirurgia e Cirurgia da Coluna Vertebral  • 

  • B

    Dr.Rodolfo e sua equipe são excelentes profissionais. Recebi um atendimento humanizado, cuidadoso, atencioso e extremamente cordial.
    Quanto ao procedimento cirúrgico, só tenho a agradecer pelo excelente resultado que obtive, graças ao incrível trabalho do Dr. Rodolfo e Dr. Lucas, anestesista e toda equipe médica no centro cirúrgico.
    Recebi indicação e agora recomendei de olhos fechados.

     • Clínica Coluna E Neuro Cirurgia da coluna lombar  • 

  • A

    Após uma punção lombar em maio, eu passei a ter sérios problemas de dormência, parestesia e dores da cintura para baixo. Até hoje, não foi possível afirmar que esse exame tenha sido a causa, mas após passar em mais de 15 médicos, fazer mais de 50 exames de sangue, ao menos 2 tomografias de crânio, e ressonâncias magnéticas com e sem contraste da cervical à lombar, eu já estava sem esperança de que algum médico acreditasse em mim ou pudesse me ajudar. Sofri por 3 meses todos os dias, até que conheci o doutor Rodolfo e foi a minha melhor decisão de 2025 por mim mesma. Ele me levou a sério, me escutou, me tranquilizou e foi o único que me medicou para a situação, medicação essa que de fato me devolveu qualidade de vida num nível que eu achava que nunca mais teria. Minha gratidão é infinita e eu recomendo esse médico de olhos fechados. Eu nem acredito que me sinto 95% bem de novo. Além do excelente tratamento médico que recebi, o tratamento da recepção é simplesmente incrível e impecável.

     • Clínica Coluna E Neuro Consulta com especialista em coluna  • 

  • E

    Gostei bastante da consulta com o dr Rodolfo Carneiro.
    Estava com dúvidas a respeito de fazer ou não um cirurgia de hérnias lombares.
    Me explicou toda a situação, sanando todas as minhas dúvidas.
    Sempre muito atencioso.

     • Clínica Coluna E Neuro Primeira consulta neurocirurgia  • 

Ocorreu um erro, tente outra vez

Dúvidas respondidas

71 dúvidas de pacientes respondidas na Doctoralia

Pergunta sobre Hérnia de disco

Quanto tempo de recuperação após um procedimento cirúrgico Endoscópico na lombar. Eu tenho 59 anos e trabalho como cuidadora de idosos

Os procedimentos endoscópicos da coluna são técnicas ditas minimamente invasivas, e portanto, por causar uma agressão cirúrgica menor ao paciente, quando comparado aos procedimentos convencionais, é esperado que o tempo de recuperação e reabilitação seja também reduzido. Em geral, a depender do caso, o paciente pode retornar para casa no mesmo dia do procedimento e retomar suas atividades cotidianas após uma ou duas semanas. Entretanto, a liberação do paciente para realizar atividades mais intensas (como erguer pesos, musculação com carga ou atividades de impacto sobre a coluna, como correr) deve ser avaliada caso a caso, e depende da velocidade de recuperação inerente a cada indivíduo e do seu contexto saúde-doença.

Dr. Rodolfo de Moura Carneiro

Pergunta sobre Hérnia de disco

Gostaria de saber qual é o tempo, em média, de recuperação, incluindo repouso e fisioterapia em uma cirurgia de discectomia lombar aberta?

O tempo de recuperação é uma prospecção que deve ser individualizada caso a caso, por depender de múltiplas variáveis, como o status de saúde do paciente, peculiaridades de cada organismo (ie., idiossincrasia), da patologia em questão que indicou a cirurgia e da técnica de cirurgia aberta empregada pelo seu médico.

Dr. Rodolfo de Moura Carneiro
Ver todas as respostas

Todos os conteúdos publicados no doctoralia.com.br, principalmente perguntas e respostas na área da medicina, têm caráter meramente informativo e não devem ser, em nenhuma circunstância, considerados como substitutos de aconselhamento médico.

Perguntas frequentes